標 記 物: Unconjugate
技術規格
|
Background: |
Methyltransferase that adds a 2'-O-methyl group at the 3'-end of piRNAs, a class of 24 to 30 nucleotide RNAs that are generated by a Dicer-independent mechanism and are primarily derived from transposons and other repeated sequence elements. This probably protects the 3'-end of piRNAs from uridylation activity and subsequent degradation. Stabilization of piRNAs is essential for gametogenesis. |
|
Applications: |
ELISA, IHC |
|
Name of antibody: |
HENMT1 |
|
Immunogen: |
Fusion protein of human HENMT1 |
|
Full name: |
HEN1 methyltransferase homolog 1 |
|
Synonyms: |
HEN1; C1orf59 |
|
SwissProt: |
Q5T8I9 |
|
ELISA Recommended dilution: |
5000-10000 |
|
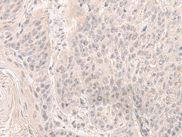
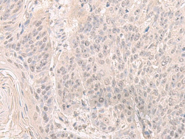
IHC positive control: |
Human ovarian cancer |
|
IHC Recommend dilution: |
40-200 |






購物車
幫助
021-54845833/15800441009
