中文名稱: 兔抗UBA1多克隆抗體
技術規格
|
Background: |
The protein encoded by this gene catalyzes the first step in ubiquitin conjugation to mark cellular proteins for degradation. This gene complements an X-linked mouse temperature-sensitive defect in DNA synthesis, and thus may function in DNA repair. It is part of a gene cluster on chromosome Xp11.23. Alternatively spliced transcript variants that encode the same protein have been described. |
|
Applications: |
ELISA, WB, IHC |
|
Name of antibody: |
UBA1 |
|
Immunogen: |
Synthetic peptide of humanUBA1 |
|
Full name: |
ubiquitin-like modifier activating enzyme 1 |
|
Synonyms: |
A1S9; A1ST; GXP1; UBE1; A1S9T; AMCX1; POC20; SMAX2; UBA1A; UBE1X; CFAP124 |
|
SwissProt: |
P22314 |
|
ELISA Recommended dilution: |
1000-2000 |
|
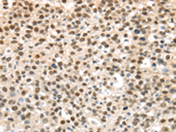
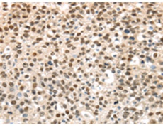
IHC positive control: |
Human esophagus cancer |
|
IHC Recommend dilution: |
30-150 |
|
WB Predicted band size: |
118 kDa |
|
WB Positive control: |
Human fetal brain tissue |
|
WB Recommended dilution: |
200-1000 |


購物車
幫助
021-54845833/15800441009
