中文名稱:兔抗CCR9多克隆抗體
英文名稱: Anti-CCR9 rabbit polyclonal antibody
別 名: GPR28; CDw199; GPR-9-6; CC-CKR-9
相關類別: 一抗
抗 原: CCR9
儲 存: 冷凍(-20℃)
宿 主: Rabbit
反應種屬: Human, Mouse
克隆類型: rabbit polyclonal
技術規格
|
Background: |
The protein encoded by this gene is a member of the beta chemokine receptor family. It is predicted to be a seven transmembrane protein similar to G protein-coupled receptors. Chemokines and their receptors are key regulators of the thymocytes migration and maturation in normal and inflammation conditions. The specific ligand of this receptor is CCL25. It has been found that this gene is differentially expressed by T lymphocytes of small intestine and colon, suggested a role in the thymocytes recruitment and development that may permit functional specialization of immune responses in different segment of the gastrointestinal tract. This gene is mapped to the chemokine receptor gene cluster region. |
|
Applications: |
ELISA, IHC |
|
Name of antibody: |
CCR9 |
|
Immunogen: |
Fusion protein of human CCR9 |
|
Full name: |
chemokine (C-C motif) receptor 9 |
|
Synonyms: |
GPR28; CDw199; GPR-9-6; CC-CKR-9 |
|
SwissProt: |
P51686 |
|
ELISA Recommended dilution: |
2000-5000 |
|
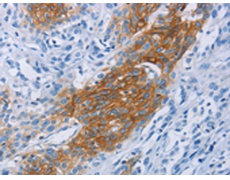
IHC positive control: |
Human esophagus cancer and human thyroid cancer |
|
IHC Recommend dilution: |
50-200 |

購物車
幫助
021-54845833/15800441009
