|
Background: |
SPACA3 (sperm acrosome associated 3), also known as sperm lysozyme-like protein 1, lysozyme-like protein 3, lysozyme-like acrosomal sperm-specific secretory protein ALLP-17, cancer/testis antigen 54 (CT54), LYC3, SPRASA or LYZL3, is a 215 amino acid protein that participates in the fusion and adhesion of sperm and egg plasma membrane during fertilization. Identified as a novel cancer/testis antigen in hematologic malignancies, SPACA3 has the ability to elicit B-cell immune responses in patients with cancer and is considered a potential target for immunotherapy. A member of the glycosyl hydrolase 22 family which is expressed in testis, placenta and epididymis, SPACA3 exists as two alternatively spliced isoforms; SPACA3 isoform 1 is a single-pass type II membrane protein of the sperm acrosome whereas SPACA3 isoform 2 is a secreted protein. Sperm surface membrane protein that may be involved in sperm-egg plasma membrane adhesion and fusion during fertilization. It could be a potential receptor for the egg oligosaccharide residue N-acetylglucosamine, which is present in the extracellular matrix over the egg plasma membrane. The processed form has no detectable bacteriolytic activity in vitro. |
|
Applications: |
ELISA, IHC |
|
Name of antibody: |
SPACA3 |
|
Immunogen: |
Full length fusion protein |
|
Full name: |
sperm acrosome associated 3 |
|
Synonyms: |
CT54; LYC3; LYZL3; SLLP1; ALLP17; 1700025M08Rik |
|
SwissProt: |
Q8IXA5 |
|
ELISA Recommended dilution: |
5000-10000 |
|
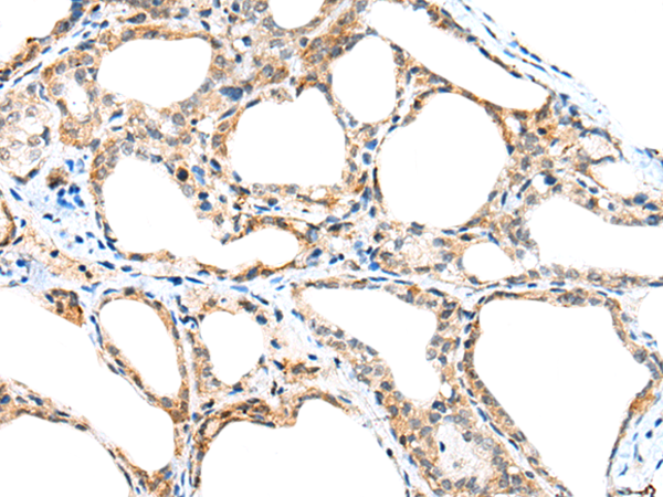
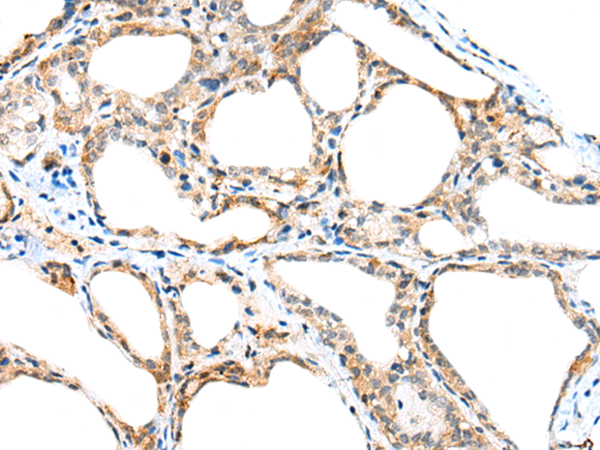
IHC positive control: |
Human thyroid cancer |
|
IHC Recommend dilution: |
30-150 |
購物車
幫助
021-54845833/15800441009
