中文名稱: 兔抗MMAB多克隆抗體
英文名稱: Anti-MMAB rabbit polyclonal antibody
別 名: methylmalonic aciduria (cobalamin deficiency) cblB type; ATR; cob; cblB; CFAP23
相關類別: 一抗
儲 存: 冷凍(-20℃)
宿 主: Rabbit
抗 原: MMAB
反應種屬: Human, Mouse
標 記 物: Unconjugate
克隆類型: rabbit polyclonal
技術規格
|
Background: |
This gene encodes a protein that catalyzes the final step in the conversion of vitamin B(12) into adenosylcobalamin (AdoCbl), a vitamin B12-containing coenzyme for methylmalonyl-CoA mutase. Mutations in the gene are the cause of vitamin B12-dependent methylmalonic aciduria linked to the cblB complementation group. Alternatively spliced transcript variants have been found. |
|
Applications: |
ELISA, WB, IHC |
|
Name of antibody: |
MMAB |
|
Immunogen: |
Fusion protein of human MMAB |
|
Full name: |
methylmalonic aciduria (cobalamin deficiency) cblB type |
|
Synonyms: |
ATR; cob; cblB; CFAP23 |
|
SwissProt: |
Q96EY8 |
|
ELISA Recommended dilution: |
5000-10000 |
|
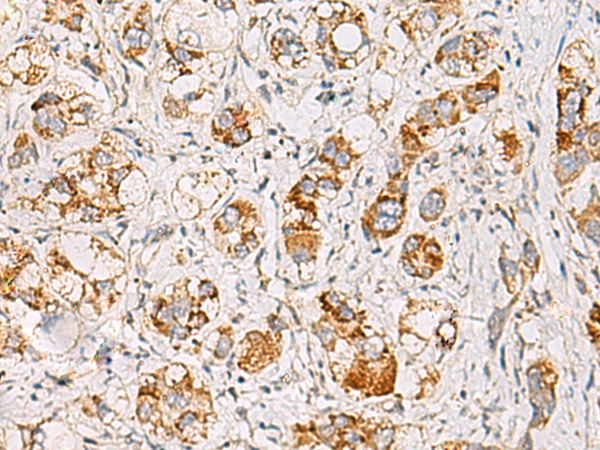
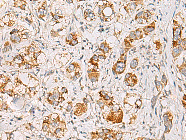
IHC positive control: |
Human liver cancer |
|
IHC Recommend dilution: |
50-200 |
|
WB Predicted band size: |
27 kDa |
|
WB Positive control: |
MCF-7, 293T, LO2 and HepG2 cell lysates |
|
WB Recommended dilution: |
1000-5000 |


購物車
幫助
021-54845833/15800441009
