中文名稱:兔抗GSTCD多克隆抗體
英文名稱: Anti-GSTCD rabbit polyclonal antibody
別 名: glutathione S-transferase C-terminal domain containing
相關類別: 一抗
儲 存: 冷凍(-20℃)
宿 主: Rabbit
抗 原: GSTCD
反應種屬: Human
標記物:Unconjugate
克隆類型: rabbit polyclonal
Background:
The function of this protein remains unknown.
Applications:
ELISA, WB, IHC
Name of antibody:
GSTCD
Immunogen:
Fusion protein of human GSTCD
Full name:
glutathione S-transferase C-terminal domain containing
SwissProt:
Q8NEC7
ELISA Recommended dilution:
5000-10000
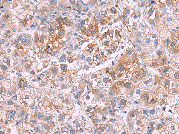
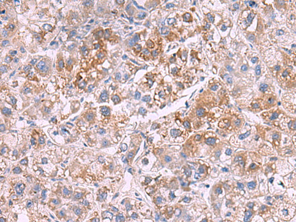
IHC positive control:
Human liver cancer
IHC Recommend dilution:
70-350
WB Predicted band size:
71 kDa
WB Positive control:
K562 cell lysate
WB Recommended dilution:
500-2000
技術規格


購物車
幫助
021-54845833/15800441009
