中文名稱 : 兔抗MOB3B多克隆抗體
英文名稱 : Anti-MOB3B rabbit polyclonal antibody
別 名 : MOB kinase activator 3B; MOB1D; C9orf35; MOBKL2B
抗 原 : MOB3B
儲 存 : 冷凍(-20℃)
宿 主 : Rabbit
反應種屬 : Human, Mouse
相關類別 : 一抗
標 記 物 : Unconjugate
克隆類型 : rabbit polyclonal
技術規格
|
Background: |
The protein encoded by this gene shares similarity with the yeast Mob1 protein. Yeast Mob1 binds Mps1p, a protein kinase essential for spindle pole body duplication and mitotic checkpoint regulation. This gene is located on the opposite strand as the interferon kappa precursor (IFNK) gene. |
|
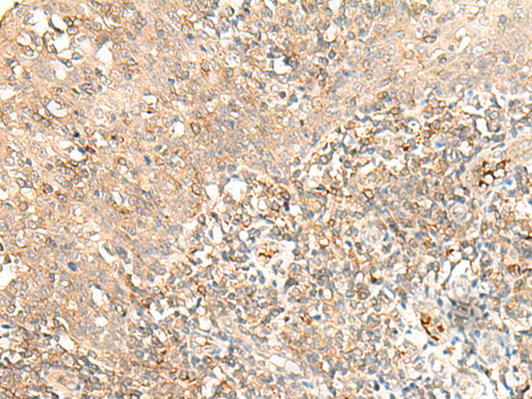
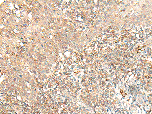
Applications: |
ELISA, IHC |
|
Name of antibody: |
MOB3B |
|
Immunogen: |
Synthetic peptide of human MOB3B |
|
Full name: |
MOB kinase activator 3B |
|
Synonyms: |
MOB1D; C9orf35; MOBKL2B |
|
SwissProt: |
Q86TA1 |
|
ELISA Recommended dilution: |
5000-10000 |
|
IHC positive control: |
Human tonsil |
|
IHC Recommend dilution: |
40-200 |
購物車
幫助
021-54845833/15800441009
