|
Background: |
This gene, the result of a duplication at this locus, is one of two functional genes encoding nearly identical proteins that have similar expression patterns. The product of this gene is a protein that shares homology with the Drosophila gonadal protein, expressed in gonadal tissues and germ cells, and with the human laminin gamma-1 chain that functions in cell attachment and migration. This gene is located in a region of chromosome 22 implicated in the DiGeorge syndrome, one facet of a broader collection of anomalies referred to as the CATCH 22 syndrome. |
|
Applications: |
ELISA, WB, IHC |
|
Name of antibody: |
DGCR6L |
|
Immunogen: |
Fusion protein of human DGCR6L |
|
Full name: |
DiGeorge syndrome critical region gene 6 like |
|
Synonyms: |
DGCR6 |
|
SwissProt: |
Q9BY27 |
|
ELISA Recommended dilution: |
5000-10000 |
|
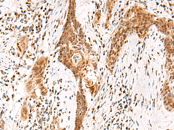
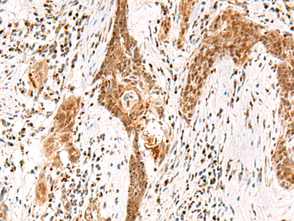
IHC positive control: |
Human thyroid cancer and Human esophagus cancer |
|
IHC Recommend dilution: |
50-300 |
|
WB Predicted band size: |
25 kDa |
|
WB Positive control: |
Human fetal liver tissue and 293T cell lysates |
|
WB Recommended dilution: |
1000-5000 |


購物車
幫助
021-54845833/15800441009
