中文名稱:兔抗GTF3C4多克隆抗體
英文名稱: Anti-GTF3C4 rabbit polyclonal antibody
別 名: general transcription factor IIIC subunit 4; KAT12; TFIII90; TFIIIC90; TFIIIC290; TF3C-delta; TFIIICDELTA
相關類別: 一抗
儲 存: 冷凍(-20℃)
宿 主: Rabbit
抗 原: GTF3C4
反應種屬: Human, Mouse
標記物: Unconjugate
克隆類型: rabbit polyclonal
Background:
Essential for RNA polymerase III to make a number of small nuclear and cytoplasmic RNAs, including 5S RNA, tRNA, and adenovirus-associated (VA) RNA of both cellular and viral origin. Has histone acetyltransferase activity (HAT) with unique specificity for free and nucleosomal H3. May cooperate with GTF3C5 in facilitating the recruitment of TFIIIB and RNA polymerase through direct interactions with BRF1, POLR3C and POLR3F. May be localized close to the A box.
Applications:
ELISA, WB, IHC
Name of antibody:
GTF3C4
Immunogen:
Synthetic peptide of human GTF3C4
Full name:
general transcription factor IIIC subunit 4
Synonyms:
KAT12; TFIII90; TFIIIC90; TFIIIC290; TF3C-delta; TFIIICDELTA
SwissProt:
Q9UKN8
ELISA Recommended dilution:
5000-10000
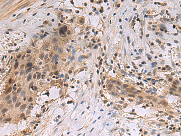
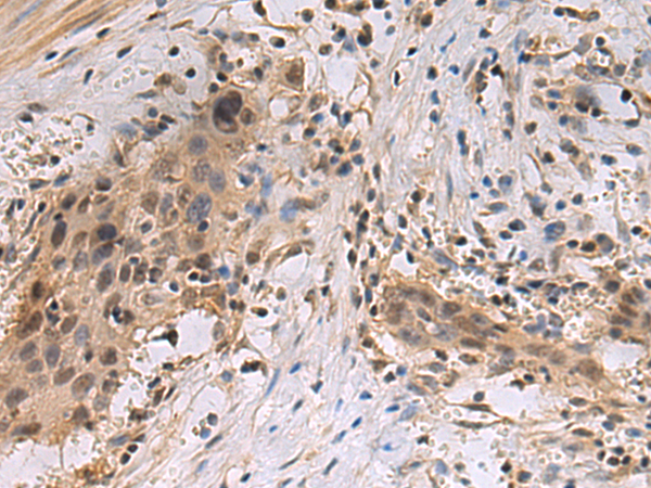
IHC positive control:
Human esophagus cancer
IHC Recommend dilution:
150-300
WB Predicted band size:
92 kDa
WB Positive control:
A172, Hela, Jurkat and Raji cell lysates
WB Recommended dilution:
1000-5000
技術規格


購物車
幫助
021-54845833/15800441009
