中文名稱:兔抗CDC34多克隆抗體
英文名稱: Anti-CDC34 rabbit polyclonal antibody
別 名: UBC3; UBCH3; UBE2R1; E2-CDC34
相關類別: 一抗
儲 存: 冷凍(-20℃)
抗 原: CDC34
反應種屬: Human, Mouse
標 記 物: Unconjugate
克隆類型: Unconjugate
技術規格
|
Background: |
The protein encoded by this gene is a member of the ubiquitin-conjugating enzyme family. Ubiquitin-conjugating enzyme catalyzes the covalent attachment of ubiquitin to other proteins. This protein is a part of the large multiprotein complex, which is required for ubiquitin-mediated degradation of cell cycle G1 regulators, and for the initiation of DNA replication. |
|
Applications: |
ELISA, WB, IHC |
|
Name of antibody: |
CDC34 |
|
Immunogen: |
Synthetic peptide of human CDC34 |
|
Full name: |
cell division cycle 34 |
|
Synonyms: |
UBC3; UBCH3; UBE2R1; E2-CDC34 |
|
SwissProt: |
P49427 |
|
ELISA Recommended dilution: |
5000-10000 |
|
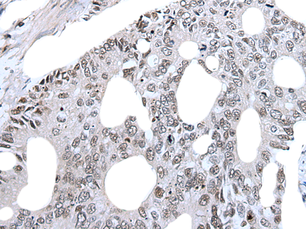
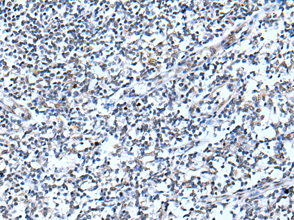
IHC positive control: |
Human tonsil and human colorectal cancer |
|
IHC Recommend dilution: |
10-50 |
|
WB Predicted band size: |
27 kDa |
|
WB Positive control: |
Human left the thymus tissue |
|
WB Recommended dilution: |
200-1000 |



購物車
幫助
021-54845833/15800441009
