中文名稱: 兔抗GTPBP2多克隆抗體
英文名稱: Anti-GTPBP2 rabbit polyclonal antibody
別 名: GTP binding protein 2; JABELS
相關類別: 一抗
儲 存: 冷凍(-20℃)
宿 主: Rabbit
抗 原: GTPBP2
反應種屬: Human, Mouse
標 記 物: Unconjugate
克隆類型: rabbit polyclonal
Background:
GTP-binding proteins, or G proteins, constitute a superfamily capable of binding GTP or GDP. G proteins are activated by binding GTP and are inactivated by hydrolyzing GTP to GDP. This general mechanism enables G proteins to perform a wide range of biologic activities.[supplied by OMIM, Jan 2003]
Applications:
ELISA, IHC
Name of antibody:
GTPBP2
Immunogen:
Fusion protein of human GTPBP2
Full name:
GTP binding protein 2
Synonyms:
JABELS
SwissProt:
Q9BX10
ELISA Recommended dilution:
5000-10000
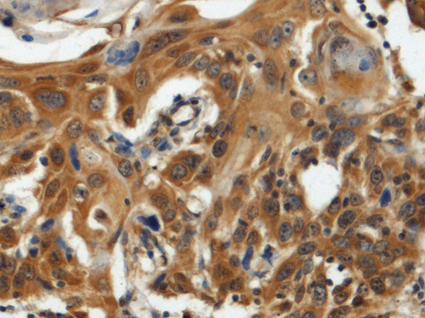
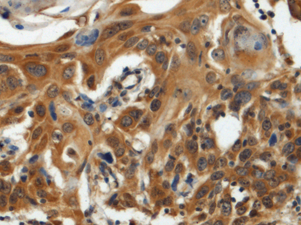
IHC positive control:
Human esophagus cancer and Human tonsil
IHC Recommend dilution:
100-300
技術規格


購物車
幫助
021-54845833/15800441009
