別 名: IFB; IFF; IFNB; IFN-beta
儲 存: 冷凍(-20℃)
標 記 物: Unconjugate
|
Background: |
This gene encodes a cytokine that belongs to the interferon family of signaling proteins, which are released as part of the innate immune response to pathogens. The protein encoded by this gene belongs to the type I class of interferons, which are important for defense against viral infections. In addition, type I interferons are involved in cell differentiation and anti-tumor defenses. Following secretion in response to a pathogen, type I interferons bind a homologous receptor complex and induce transcription of genes such as those encoding inflammatory cytokines and chemokines. Overactivation of type I interferon secretion is linked to autoimmune diseases. Mice deficient for this gene display several phenotypes including defects in B cell maturation and increased susceptibility to viral infection. |
|
Applications: |
ELISA, IHC |
|
Name of antibody: |
IFNB1 |
|
Immunogen: |
Synthetic peptide of human IFNB1 |
|
Full name: |
interferon, beta 1, fibroblast |
|
Synonyms: |
IFB; IFF; IFNB; IFN-beta |
|
SwissProt: |
P01574 |
|
ELISA Recommended dilution: |
5000-10000 |
|
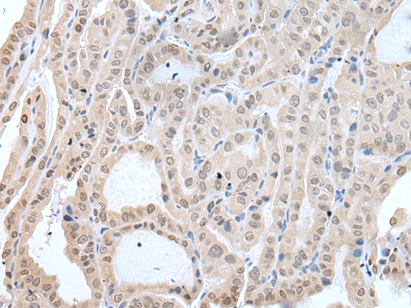
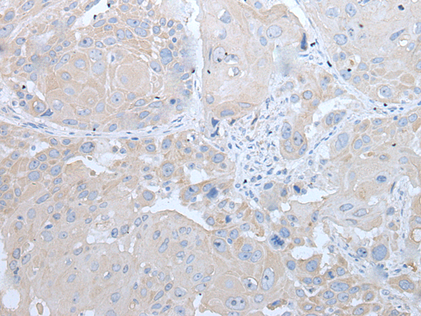
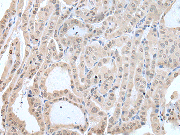
IHC positive control: |
Human esophagus cancer and human thyroid cancer |
|
IHC Recommend dilution: |
30-150 |


購物車
幫助
021-54845833/15800441009
