|
Background: |
This gene encodes one member of a family of translation repressor proteins. The protein directly interacts with eukaryotic translation initiation factor 4E (eIF4E), which is a limiting component of the multisubunit complex that recruits 40S ribosomal subunits to the 5' end of mRNAs. Interaction of this protein with eIF4E inhibits complex assembly and represses translation. |
|
Applications: |
WB, IHC |
|
Name of antibody: |
EIF4EBP1(Ab-64) |
|
Immunogen: |
Synthesized non-phosphopeptide derived from human 4E-BP1 around the phosphorylation site of serine 65 (R-N-S(p)-P-V). |
|
Full name: |
eukaryotic translation initiation factor 4E binding protein 1 |
|
Synonyms: |
BP-1; 4EBP1; 4E-BP1; PHAS-I |
|
SwissProt: |
Q13541 |
|
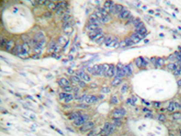
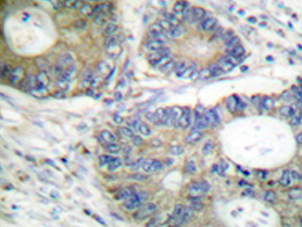
IHC positive control: |
Human colon carcinoma tissue |
|
IHC Recommend dilution: |
50-100 |
|
WB Predicted band size: |
13 kDa |
|
WB Positive control: |
Jurkat cells treated with Insulin (0.01U/ml, 15mins) lysate |
|
WB Recommended dilution: |
500-3000 |

購物車
幫助
021-54845833/15800441009
