|
Background: |
This gene is a member of the Ets family of transcription factors and of the ternary complex factor (TCF) subfamily. Proteins of the TCF subfamily form a ternary complex by binding to the the serum response factor and the serum response element in the promoter of the c-fos proto-oncogene. The protein encoded by this gene is a nuclear target for the ras-raf-MAPK signaling cascade. This gene produces multiple isoforms by using alternative translational start codons and by alternative splicing. Related pseudogenes have been identified on chromosomes 7 and 14. |
|
Applications: |
IHC, IF |
|
Name of antibody: |
ELK1(Phospho-Thr417) |
|
Immunogen: |
Peptide sequence around phosphorylation site of threonine 417(L-S-T(p)-P-V) derived from Human Elk1. |
|
Full name: |
ELK1, member of ETS oncogene family |
|
Synonyms: |
0 |
|
SwissProt: |
P19419 |
|
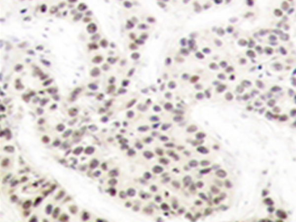
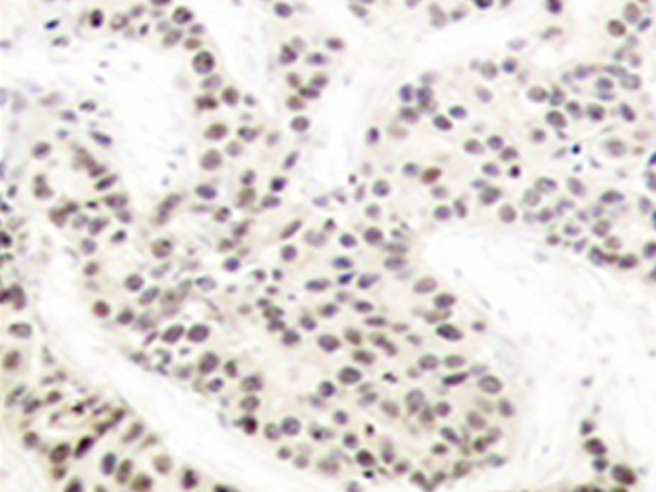
IHC positive control: |
Human breast carcinoma tissue |
|
IHC Recommend dilution: |
50-100 |
|
IF positive control: |
Hela cells |
|
IF Recommend dilution: |
100-200 |

購物車
幫助
021-54845833/15800441009
