中文名稱:兔抗PTPRE多克隆抗體
英文名稱: Anti-PTPRE rabbit polyclonal antibody
別 名: PTPE, HPTPE, R-PTP-EPSILON
抗 原: PTPRE
儲 存: 冷凍(-20℃)
宿 主: Rabbit
相關類別: 一抗
反應種屬: Human, Mouse, Rat
標記物: Unconjugate
克隆類型: rabbit polyclonal
技術規格
|
Background: |
The protein encoded by this gene is a member of the protein tyrosine phosphatase (PTP) family. PTPs are known to be signaling molecules that regulate a variety of cellular processes including cell growth, differentiation, mitotic cycle, and oncogenic transformation. Two alternatively spliced transcript variants of this gene have been reported, one of which encodes a receptor-type PTP that possesses a short extracellular domain, a single transmembrane region, and two tandem intracytoplasmic catalytic domains; Another one encodes a PTP that contains a distinct hydrophilic N-terminus, and thus represents a nonreceptor-type isoform of this PTP. Studies of the similar gene in mice suggested the regulatory roles of this PTP in RAS related signal transduction pathways, cytokines induced SATA signaling, as well as the activation of voltage-gated K+ channels. |
|
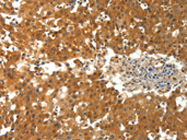
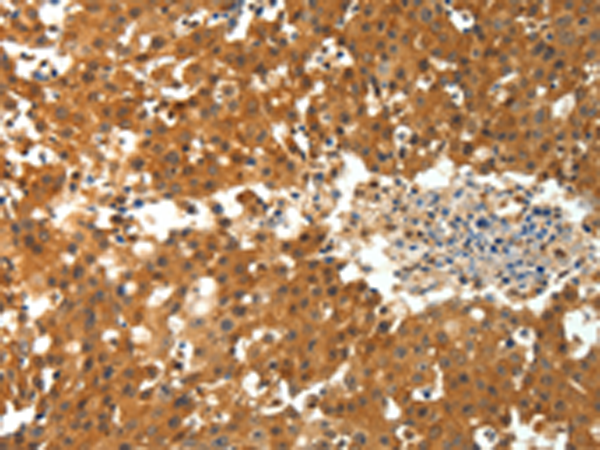
Applications: |
ELISA, IHC |
|
Name of antibody: |
PTPRE |
|
Immunogen: |
Fusion protein of human PTPRE |
|
Full name: |
protein tyrosine phosphatase, receptor type, E |
|
Synonyms: |
PTPE, HPTPE, R-PTP-EPSILON |
|
SwissProt: |
P23469 |
|
ELISA Recommended dilution: |
1000-5000 |
|
IHC positive control: |
Human breast cancer and Human lung cancer |
|
IHC Recommend dilution: |
15-50 |

購物車
幫助
021-54845833/15800441009
