中文名稱: 兔抗MED31多克隆抗體
英文名稱: Anti-MED31 rabbit polyclonal antibody
別 名: mediator complex subunit 31; Soh1; CGI-125; 3110004H13Rik
相關類別: 一抗
儲 存: 冷凍(-20℃)
宿 主: Rabbit
抗 原: MED31
反應種屬: Human, Mouse
標 記 物: Unconjugate
克隆類型: rabbit polyclonal
技術規格
|
Background: |
Component of the Mediator complex, a coactivator involved in the regulated transcription of nearly all RNA polymerase II-dependent genes. Mediator functions as a bridge to convey information from gene-specific regulatory proteins to the basal RNA polymerase II transcription machinery. Mediator is recruited to promoters by direct interactions with regulatory proteins and serves as a scaffold for the assembly of a functional preinitiation complex with RNA polymerase II and the general transcription factors. |
|
Applications: |
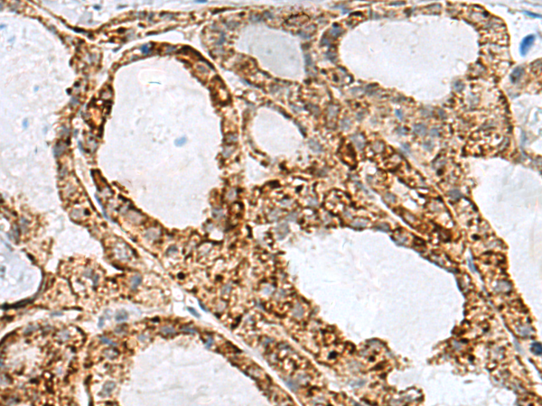
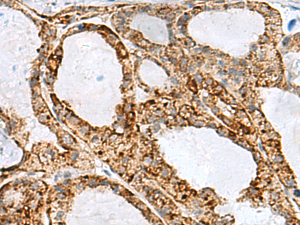
ELISA, IHC |
|
Name of antibody: |
MED31 |
|
Immunogen: |
Fusion protein of human MED31 |
|
Full name: |
mediator complex subunit 31 |
|
Synonyms: |
Soh1; CGI-125; 3110004H13Rik |
|
SwissProt: |
Q9Y3C7 |
|
ELISA Recommended dilution: |
5000-10000 |
|
IHC positive control: |
Human liver cancer and Human thyroid cancer |
|
IHC Recommend dilution: |
100-300 |


購物車
幫助
021-54845833/15800441009
