中文名稱: 兔抗RAB11FIP3多克隆抗體
英文名稱: Anti-RAB11FIP3 rabbit polyclonal antibody
別 名: CART1; Rab11-FIP3
抗 原: RAB11FIP3
儲 存: 冷凍(-20℃) 避光
宿 主: Rabbit
反應種屬: Human
相關類別: 一抗
標 記 物: Unconjugate
克隆類型: rabbit polyclonal
技術規格
|
Background: |
Proteins of the large Rab GTPase family (see RAB1A; MIM 179508) have regulatory roles in the formation, targeting, and fusion of intracellular transport vesicles. RAB11FIP3 is one of many proteins that interact with and regulate Rab GTPases (Hales et al., 2001 [PubMed 11495908]). |
|
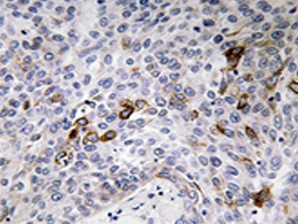
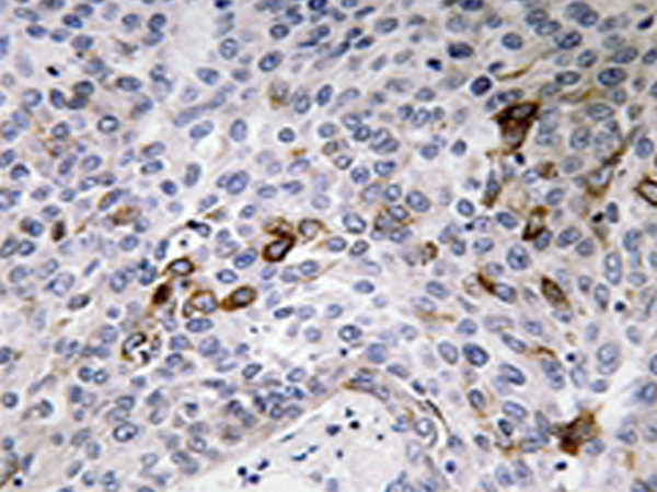
Applications: |
IHC |
|
Name of antibody: |
RAB11FIP3 |
|
Immunogen: |
Synthesized peptide derived from C-terminal of human RAB11FIP3. |
|
Full name: |
RAB11 family interacting protein 3 (class II) |
|
Synonyms: |
CART1; Rab11-FIP3 |
|
SwissProt: |
O75154 |
|
IHC positive control: |
Human lung carcinoma tissue |
|
IHC Recommend dilution: |
50-100 |

購物車
幫助
021-54845833/15800441009
