中文名稱: 兔抗MSH2多克隆抗體
英文名稱: Anti-MSH2 rabbit polyclonal antibody
別 名: mutS homolog 2 FCC1; COCA1; HNPCC; LCFS2; HNPCC1
相關類別: 一抗
儲 存: 冷凍(-20℃)
宿 主: Rabbit
抗 原: MSH2
反應種屬: Human, Mouse
標 記 物: Unconjugate
克隆類型: rabbit polyclonal
技術規格
|
Background: |
Synthetic peptide of human MSH2 |
|
Applications: |
ELISA, WB, IHC |
|
Name of antibody: |
MSH2 |
|
Immunogen: |
Synthetic peptide of human MSH2 |
|
Full name: |
mutS homolog 2 |
|
Synonyms: |
FCC1; COCA1; HNPCC; LCFS2; HNPCC1 |
|
SwissProt: |
P43246 |
|
ELISA Recommended dilution: |
1000-2000 |
|
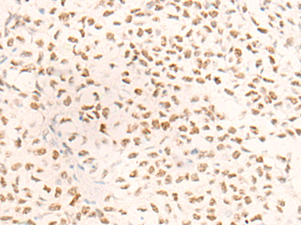
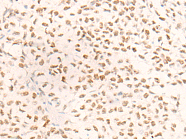
IHC positive control: |
Human colorectal cancer; |
|
IHC Recommend dilution: |
20-100 |
|
WB Predicted band size: |
105 kDa |
|
WB Positive control: |
HEPG2,293T,SKOV3,Hela and A172 cell lysates |
|
WB Recommended dilution: |
200-1000 |



購物車
幫助
021-54845833/15800441009
