中文名稱:兔抗CEP104多克隆抗體
英 文 名: Anti-CEP104 rabbit polyclonal antibody
別 名: centrosomal protein 104; GlyBP; ROC22; JBTS25; CFAP256; KIAA0562
相關類別: 一抗
儲 存: 冷凍(-20℃)
抗 原: CEP104
宿 主: Rabbit
克隆類型: rabbit polyclonal
技術規格
|
Background: |
This gene encodes a centrosomal protein required for ciliogenesis and for ciliary tip structural integrity. The mammalian protein contains three amino-terminal hydrophobic domains, two glycosylation sites, four cysteine-rich motifs, and two regions with homology to the glutamate receptor ionotropic, NMDA 1 protein. During ciliogenesis, the encoded protein translocates from the distal tips of the centrioles to the tip of the elongating cilium. Knockdown of the protein in human retinal pigment cells results in severe defects in ciliogenesis with structural deformities at the ciliary tips. Allelic variants of this gene are associated with the autosomal-recessive disorder Joubert syndrome, which is characterized by a distinctive mid-hindbrain and cerebellar malformation, oculomotor apraxia, irregular breathing, developmental delay, and ataxia. |
|
Applications: |
ELISA, IHC |
|
Name of antibody: |
CEP104 |
|
Immunogen: |
Synthetic peptide of human CEP104 |
|
Full name: |
centrosomal protein 104 |
|
Synonyms: |
GlyBP; ROC22; JBTS25; CFAP256; KIAA0562 |
|
SwissProt: |
O60308 |
|
ELISA Recommended dilution: |
5000-10000 |
|
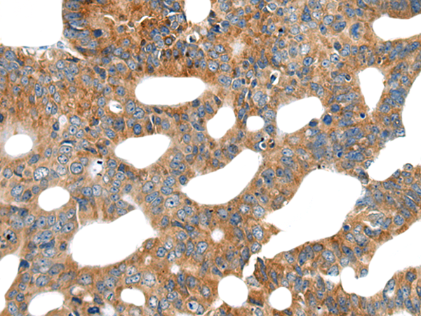
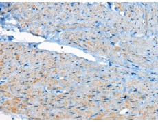
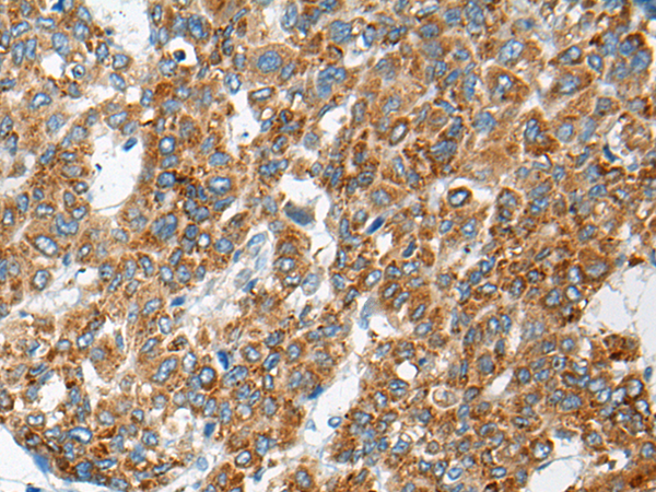
IHC positive control: |
Human colorectal cancer and human liver cancer |
|
IHC Recommend dilution: |
25-100 |
購物車
幫助
021-54845833/15800441009
