中文名稱: 兔抗ETS1多克隆抗體
Background:
This gene encodes a member of the ETS family of transcription factors, which are defined by the presence of a conserved ETS DNA-binding domain that recognizes the core consensus DNA sequence GGAA/T in target genes. These proteins function either as transcriptional activators or repressors of numerous genes, and are involved in stem cell development, cell senescence and death, and tumorigenesis. Alternatively spliced transcript variants encoding different isoforms have been described for this gene.
Applications:
ELISA, IHC
Name of antibody:
ETS1
Immunogen:
Synthetic peptide of human ETS1
Full name:
ETS proto-oncogene 1, transcription factor
Synonyms:
p54; ETS-1; EWSR2; c-ets-1
SwissProt:
P14921
ELISA Recommended dilution:
5000-10000
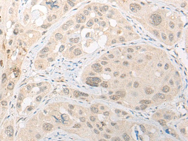
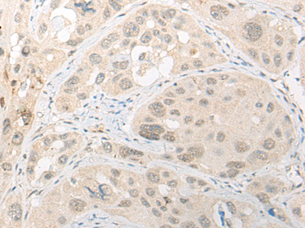
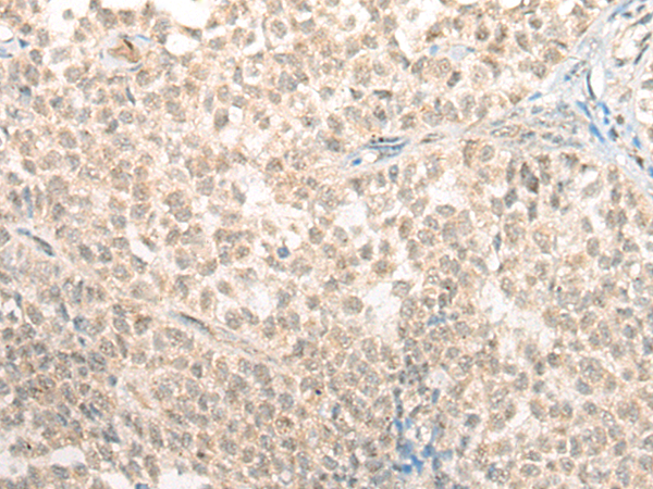
IHC positive control:
Human ovarian cancer; Human esophagus cancer
IHC Recommend dilution:
20-100

購物車
幫助
021-54845833/15800441009
