中文名稱: 兔抗EPN2多克隆抗體
|
Background: |
This gene encodes a protein which interacts with clathrin and adaptor-related protein complex 2, alpha 1 subunit. The protein is found in a brain-derived clathrin-coated vesicle fraction and localizes to the peri-Golgi region and the cell periphery. The protein is thought to be involved in clathrin-mediated endocytosis. Alternate splicing of this gene results in multiple transcript variants encoding different isoforms. |
|
Applications: |
ELISA, IHC |
|
Name of antibody: |
EPN2 |
|
Immunogen: |
Synthetic peptide of human EPN2 |
|
Full name: |
epsin 2 |
|
Synonyms: |
EHB21 |
|
SwissProt: |
O95208 |
|
ELISA Recommended dilution: |
5000-10000 |
|
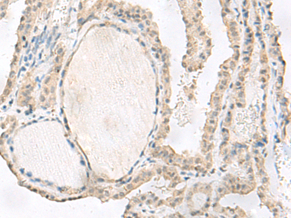
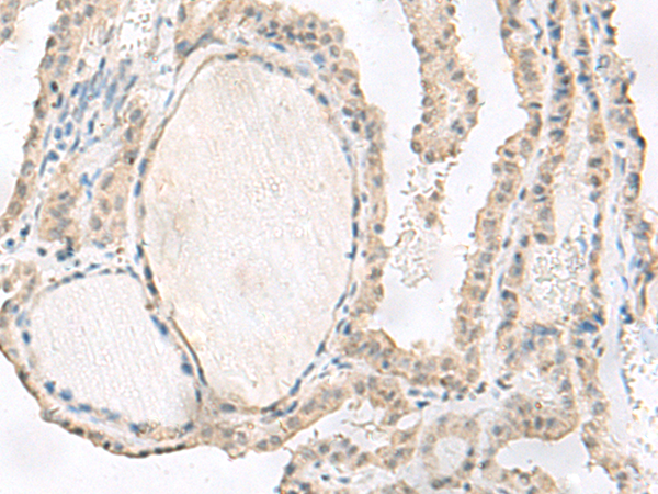
IHC positive control: |
Human thyroid cancer |
|
IHC Recommend dilution: |
20-100 |
購物車
幫助
021-54845833/15800441009
