克隆類型: rabbit polyclonal
技術規格
|
Background: |
The protein encoded by this gene is part of the multimeric HBO1 complex, which possesses histone H4-specific acetyltransferase activity. This activity is required for functional replication origins and is involved in transcriptional activation of some genes. In both cases, the acetylation of histone H4 helps unfold chromatin so that the DNA can be accessed and replicated or transcribed. |
|
Applications: |
ELISA, IHC |
|
Name of antibody: |
KAT7 |
|
Immunogen: |
Synthetic peptide of human KAT7 |
|
Full name: |
lysine acetyltransferase 7 |
|
Synonyms: |
HBO1; HBOA; MYST2; ZC2HC7 |
|
SwissProt: |
O95251 |
|
ELISA Recommended dilution: |
5000-10000 |
|
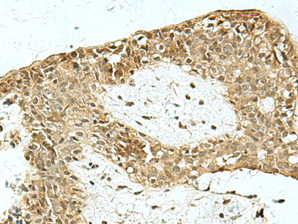
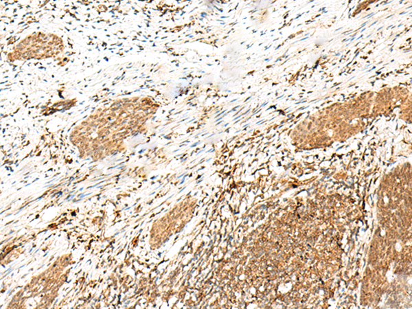
IHC positive control: |
Human breast cancer |
|
IHC Recommend dilution: |
50-300 |

購物車
幫助
021-54845833/15800441009
