中文名稱: 兔抗UBE2V1多克隆抗體
相關類別: 一抗
|
Background: |
Ubiquitin-conjugating E2 enzyme variant proteins constitute a distinct subfamily within the E2 protein family. They have sequence similarity to other ubiquitin-conjugating enzymes but lack the conserved cysteine residue that is critical for the catalytic activity of E2s. The protein encoded by this gene is located in the nucleus and can cause transcriptional activation of the human FOS proto-oncogene. It is thought to be involved in the control of differentiation by altering cell cycle behavior. Alternatively spliced transcript variants encoding multiple isoforms have been described for this gene, and multiple pseudogenes of this gene have been identified. Co-transcription of this gene and the neighboring upstream gene generates a rare transcript (Kua-UEV), which encodes a fusion protein comprised of sequence sharing identity with each individual gene product. |
|
Applications: |
ELISA, WB, IHC |
|
Name of antibody: |
UBE2V1 |
|
Immunogen: |
Full length fusion protein |
|
Full name: |
ubiquitin conjugating enzyme E2 variant 1 |
|
Synonyms: |
CIR1; UEV1; CROC1; UBE2V; UEV-1; UEV1A; CROC-1 |
|
SwissProt: |
Q13404 |
|
ELISA Recommended dilution: |
5000-10000 |
|
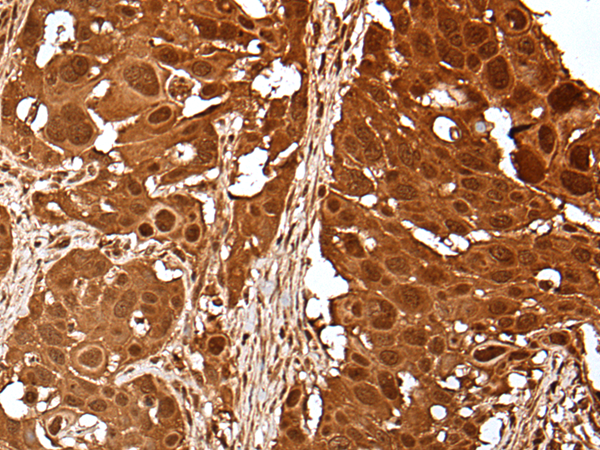
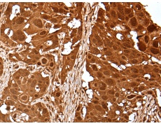
IHC positive control: |
Human tonsil and human breast cancer |
|
IHC Recommend dilution: |
25-100 |
|
WB Predicted band size: |
16 kDa |
|
WB Positive control: |
Human fetal brain tissue,HT-29 cell and Jurkat cell lysates |
|
WB Recommended dilution: |
500-2000 |


購物車
幫助
021-54845833/15800441009
