|
Background: |
This gene encodes a member of the epidermal growth factor receptor (EGFR) family of receptor tyrosine kinases. This membrane-bound protein has a neuregulin binding domain but not an active kinase domain. It therefore can bind this ligand but not convey the signal into the cell through protein phosphorylation. However, it does form heterodimers with other EGF receptor family members which do have kinase activity. Heterodimerization leads to the activation of pathways which lead to cell proliferation or differentiation. Amplification of this gene and/or overexpression of its protein have been reported in numerous cancers, including prostate, bladder, and breast tumors. Alternate transcriptional splice variants encoding different isoforms have been characterized. One isoform lacks the intermembrane region and is secreted outside the cell. This form acts to modulate the activity of the membrane-bound form. Additional splice variants have also been reported, but they have not been thoroughly characterized. |
|
Applications: |
WB, IHC, IF |
|
Name of antibody: |
ERBB3 (phospho-Tyr1328) |
|
Immunogen: |
Synthetic peptide of human ERBB3 (phospho-Tyr1328) |
|
Full name: |
v-erb-b2 erythroblastic leukemia viral oncogene homolog 3 (avian) (phospho-Tyr1328) |
|
Synonyms: |
HER3; LCCS2; ErbB-3; c-erbB3; erbB3-S; MDA-BF-1; c-erbB-3; p180-ErbB3; p45-sErbB3; p85-sErbB3 |
|
SwissProt: |
P21860 |
|
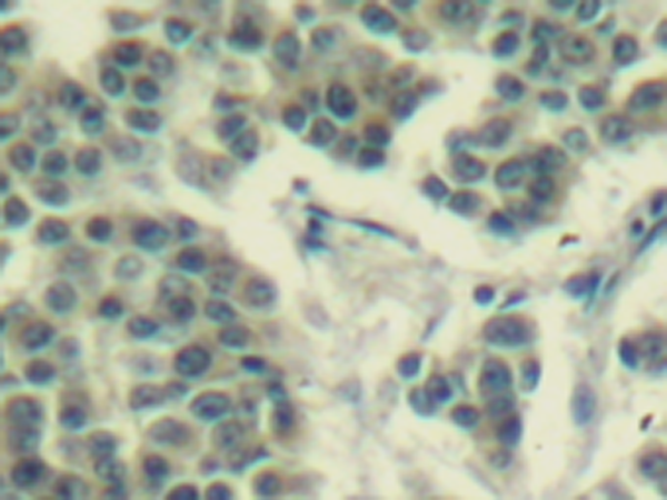
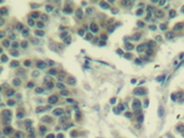
IHC positive control: |
Human breast carcinoma |
|
IHC Recommend dilution: |
50-100 |
|
WB Predicted band size: |
148 kDa |
|
WB Positive control: |
A431 cells treated with EGF |
|
WB Recommended dilution: |
500-1000 |
|
IF Positive control: |
MCF7 cells |
|
IF Recommended dilution |
100-200 |


購(gòu)物車
幫助
021-54845833/15800441009
