中文名稱: 兔抗MTHFD2L多克隆抗體
英文名稱: Anti-MTHFD2L rabbit polyclonal antibody
別 名: methylenetetrahydrofolate dehydrogenase (NADP+ dependent) 2 like
相關類別: 一抗
儲 存: 冷凍(-20℃)
宿 主: Rabbit
抗 原: MTHFD2L
反應種屬: Human, Mouse, Rat
標 記 物: Unconjugate
克隆類型: rabbit polyclonal
技術規格
|
Background: |
The specific function of this protein remains unknown. |
|
Applications: |
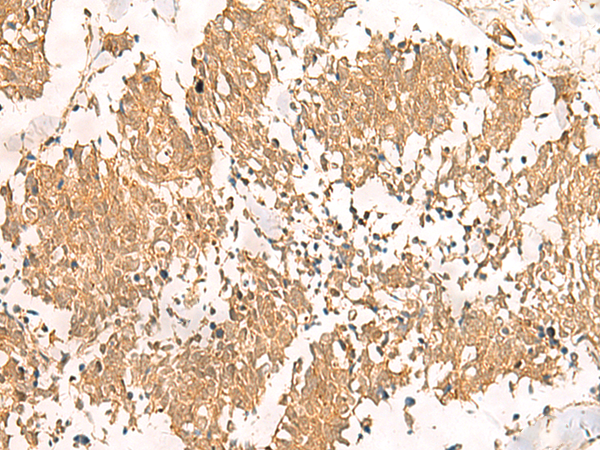
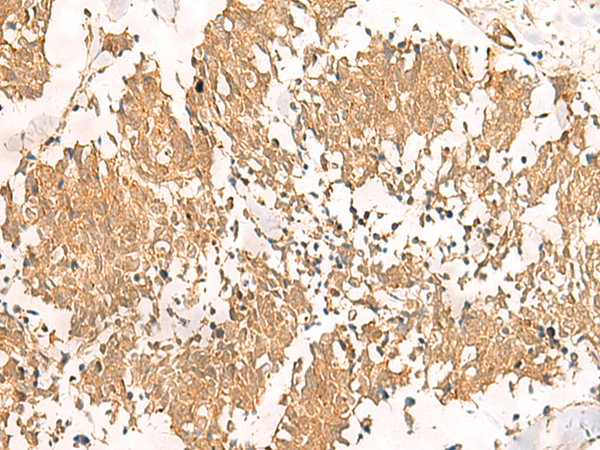
ELISA, IHC |
|
Name of antibody: |
MTHFD2L |
|
Immunogen: |
Fusion protein of human MTHFD2L |
|
Full name: |
methylenetetrahydrofolate dehydrogenase (NADP+ dependent) 2 like |
|
SwissProt: |
Q9H903 |
|
ELISA Recommended dilution: |
5000-10000 |
|
IHC positive control: |
Human tonsil and Human lung cancer |
|
IHC Recommend dilution: |
30-150 |


購物車
幫助
021-54845833/15800441009
