中文名稱 : 兔抗PISD多克隆抗體
英文名稱 : Anti-PISD rabbit polyclonal antibody
別 名 : phosphatidylserine decarboxylase; PSD; PSDC; PSSC; DJ858B16; dJ858B16.2
儲 存 : 冷凍(-20℃)
抗 原 : PISD
宿 主 : Rabbit
反應種屬 : Human, Mouse, Rat
標 記 物 : Unconjugate
相關類別 : 一抗
克隆類型 : rabbit polyclonal
技術規格
|
Background: |
The protein encoded by this gene catalyzes the conversion of phosphatidylserine to phosphatidylethanolamine in the inner mitochondrial membrane. The encoded protein is active in phospholipid metabolism and interorganelle trafficking of phosphatidylserine. |
|
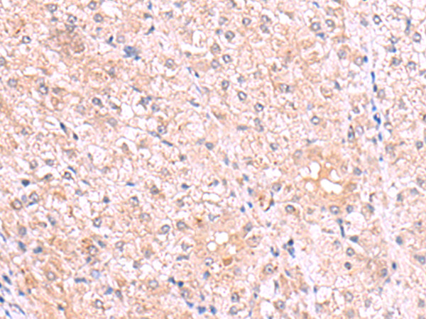
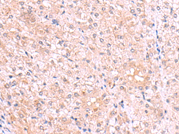
Applications: |
ELISA, IHC |
|
Name of antibody: |
PISD |
|
Immunogen: |
Fusion protein of human PISD |
|
Full name: |
phosphatidylserine decarboxylase |
|
Synonyms: |
PSD; PSDC; PSSC; DJ858B16; dJ858B16.2 |
|
SwissProt: |
Q9UG56 |
|
ELISA Recommended dilution: |
5000-10000 |
|
IHC positive control: |
Human liver cancer |
|
IHC Recommend dilution: |
50-300 |

購物車
幫助
021-54845833/15800441009
