標 記 物: Unconjugate
Background:
Serine lipid hydrolase associated with lipid droplets. Highly expressed in macrophage-rich areas in atherosclerotic lesions, suggesting that it could promote cholesterol ester turnover in macrophages.
Applications:
ELISA, WB, IHC
Name of antibody:
LDAH
Immunogen:
Synthetic peptide of human LDAH
Full name:
lipid droplet associated hydrolase
Synonyms:
hLDAH; C2orf43
SwissProt:
Q9H6V9
ELISA Recommended dilution:
5000-10000
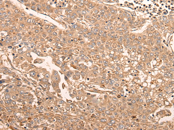
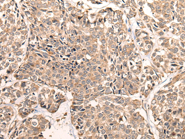
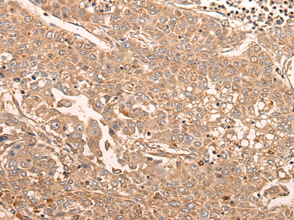
IHC positive control:
Human liver cancer and human esophagus cancer
IHC Recommend dilution:
40-200
WB Predicted band size:
37 kDa
WB Positive control:
HEPG2 cell lysate
WB Recommended dilution:
500-2000



購物車
幫助
021-54845833/15800441009
