英文名稱: Anti-CD177 rabbit polyclonal antibody
別 名: NB1; PRV1; HNA2A; PRV-1; HNA-2a; NB1 GP
相關類別: 一抗
儲 存: 冷凍(-20℃)
抗 原: CD177
宿 主: Rabbit
反應種屬: Human
標 記 物: Unconjugate
克隆類型: rabbit polyclonal
技術規格
|
Background: |
NB1, a glycosyl-phosphatidylinositol (GPI)-linked N-glycosylated cell surface glycoprotein, was first described in a case of neonatal alloimmune neutropenia. Highly expressed in normal bone marrow and weakly expressed in fetal liver. Expressed on neutrophils. Expressed in granulocytes of patients with polycythemia vera (PV) and with essential thrombocythemia (ET). |
|
Applications: |
ELISA, IHC |
|
Name of antibody: |
CD177 |
|
Immunogen: |
Fusion protein of human CD177 |
|
Full name: |
CD177 molecule |
|
Synonyms: |
NB1; PRV1; HNA2A; PRV-1; HNA-2a; NB1 GP |
|
SwissProt: |
Q8N6Q3 |
|
ELISA Recommended dilution: |
1000-2000 |
|
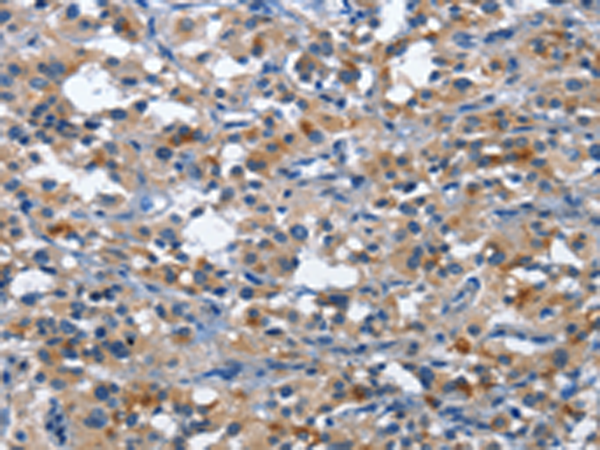
IHC positive control: |
Human thyroid cancer and Human cervical cancer |
|
IHC Recommend dilution: |
25-100 |

購物車
幫助
021-54845833/15800441009
