中文名稱: 兔抗CD276多克隆抗體
英文名稱: Anti-CD276 rabbit polyclonal antibody
別 名: B7H3; B7-H3; B7RP-2; 4Ig-B7-H3
宿 主: Rabbit
反應種屬: Human, Mouse, Rat
相關類別: 一抗
標 記 物: Unconjugate
克隆類型: rabbit polyclonal
技術規格
|
Background: |
The protein encoded by this gene belongs to the immunoglobulin superfamily, and thought to participate in the regulation of T-cell-mediated immune response. Studies show that while the transcript of this gene is ubiquitously expressed in normal tissues and solid tumors, the protein is preferentially expressed only in tumor tissues. Additionally, it was observed that the 3' UTR of this transcript contains a target site for miR29 microRNA, and there is an inverse correlation between the expression of this protein and miR29 levels, suggesting regulation of expression of this gene product by miR29. Alternatively spliced transcript variants encoding different isoforms have been found for this gene. |
|
Applications: |
ELISA, WB, IHC |
|
Name of antibody: |
CD276 |
|
Immunogen: |
Synthetic peptide of human CD276 |
|
Full name: |
CD276 molecule |
|
Synonyms: |
B7H3; B7-H3; B7RP-2; 4Ig-B7-H3 |
|
SwissProt: |
Q5ZPR3 |
|
ELISA Recommended dilution: |
5000-10000 |
|
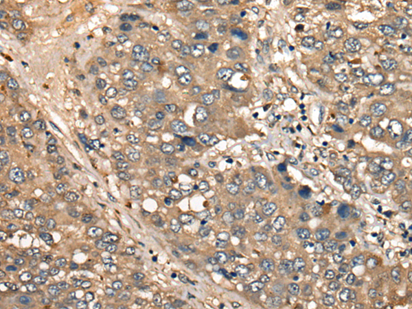
IHC positive control: |
Human liver cancer |
|
IHC Recommend dilution: |
25-100 |
|
WB Predicted band size: |
57 kDa |
|
WB Positive control: |
293T,LNCAP,231 and PC-3 cell lysates |
|
WB Recommended dilution: |
200-1000 |


購物車
幫助
021-54845833/15800441009
