中文名稱: 兔抗MYOZ1多克隆抗體
英文名稱: Anti-MYOZ1 rabbit polyclonal antibody
別 名: CS-2, FATZ, MYOZ
抗 原: MYOZ1
儲 存: 冷凍(-20℃)
宿 主: Rabbit
相關類別: 一抗
反應種屬: Human, Mouse
標 記 物: Unconjugate
克隆類型: rabbit polyclonal
技術規格
|
Background: |
The protein encoded by this gene is primarily expressed in the skeletal muscle, and belongs to the myozenin family. Members of this family function as calcineurin-interacting proteins that help tether calcineurin to the sarcomere of cardiac and skeletal muscle. They play an important role in modulation of calcineurin signaling. |
|
Applications: |
ELISA, WB, IHC |
|
Name of antibody: |
MYOZ1 |
|
Immunogen: |
Fusion protein of human MYOZ1 |
|
Full name: |
myozenin 1 |
|
Synonyms: |
CS-2; FATZ; MYOZ |
|
SwissProt: |
Q9NP98 |
|
ELISA Recommended dilution: |
5000-10000 |
|
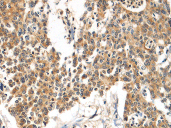
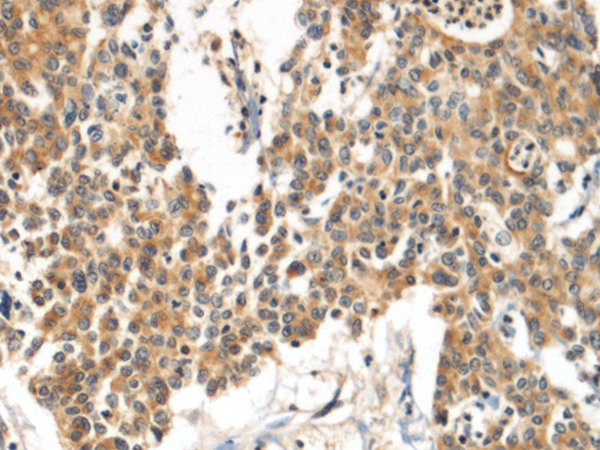
IHC positive control: |
Human colorectal cancer |
|
IHC Recommend dilution: |
100-300 |
|
WB Predicted band size: |
32 kDa |
|
WB Positive control: |
Mouse skeletal muscle tissue lysate |
|
WB Recommended dilution: |
1000-5000 |


購物車
幫助
021-54845833/15800441009
