|
Background: |
This gene is a member of KDWK gene family. The product of this gene associates with GMEB1 protein, and the complex is essential for parvovirus DNA replication. Study of rat homolog implicates the role of this gene in modulation of transactivation by the glucocorticoid receptor bound to glucocorticoid response elements. This gene appears to use multiple polyadenylation sites. |
|
Applications: |
ELISA, IHC |
|
Name of antibody: |
GMEB2 |
|
Immunogen: |
Synthetic peptide of human GMEB2 |
|
Full name: |
glucocorticoid modulatory element binding protein 2 |
|
Synonyms: |
PIF79; GMEB-2; P79PIF |
|
SwissProt: |
Q9UKD1 |
|
ELISA Recommended dilution: |
5000-10000 |
|
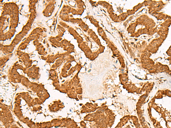
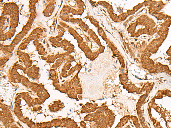
IHC positive control: |
Human ovarian cancer and Human thyroid cancer |
|
IHC Recommend dilution: |
40-200 |

購物車
幫助
021-54845833/15800441009
