|
Background: |
This gene encodes a member of the F-box protein family, members of which are characterized by an approximately 40 amino acid motif, the F-box. The F-box proteins constitute one of the four subunits of ubiquitin protein ligase complex called SCFs (SKP1-cullin-F-box), which function in phosphorylation-dependent ubiquitination. The F-box proteins are divided into three classes: Fbws containing WD-40 domains, Fbls containing leucine-rich repeats, and Fbxs containing either different protein-protein interaction modules or no recognizable motifs. The protein encoded by this gene contains a WD-40 domain, in addition to an F-box motif, so it belongs to the Fbw class. Alternatively spliced transcript variants encoding distinct isoforms have been identified for this gene. |
|
Applications: |
ELISA, IHC |
|
Name of antibody: |
FBXW8 |
|
Immunogen: |
Synthetic peptide of human FBXW8 |
|
Full name: |
F-box and WD repeat domain containing 8 |
|
Synonyms: |
FBW6; FBW8; FBX29; FBXW6; FBXO29 |
|
SwissProt: |
Q8N3Y1 |
|
ELISA Recommended dilution: |
5000-10000 |
|
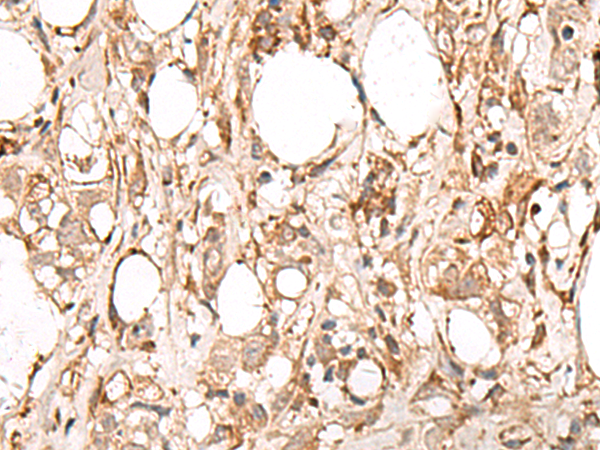
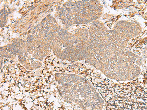
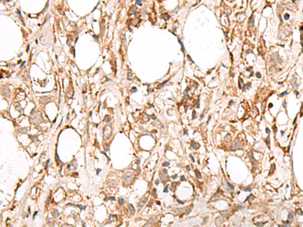
IHC positive control: |
Human esophagus cancer and Human breast cancer |
|
IHC Recommend dilution: |
50-300 |

購物車
幫助
021-54845833/15800441009
