中文名稱: 兔抗GEMIN6多克隆抗體
|
Background: |
GEMIN6 is part of a large macromolecular complex, localized to both the cytoplasm and the nucleus, that plays a role in the cytoplasmic assembly of small nuclear ribonucleoproteins (snRNPs). Other members of this complex include SMN (MIM 600354), GEMIN2 (SIP1; MIM 602595), GEMIN3 (DDX20; MIM 606168), GEMIN4 (MIM 606969), and GEMIN5 (MIM 607005).[supplied by OMIM, Jul 2002] |
|
Applications: |
ELISA, IHC |
|
Name of antibody: |
GEMIN6 |
|
Immunogen: |
Fusion protein of human GEMIN6 |
|
Full name: |
gem nuclear organelle associated protein 6 |
|
SwissProt: |
Q8WXD5 |
|
ELISA Recommended dilution: |
5000-10000 |
|
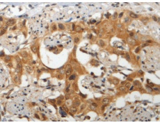
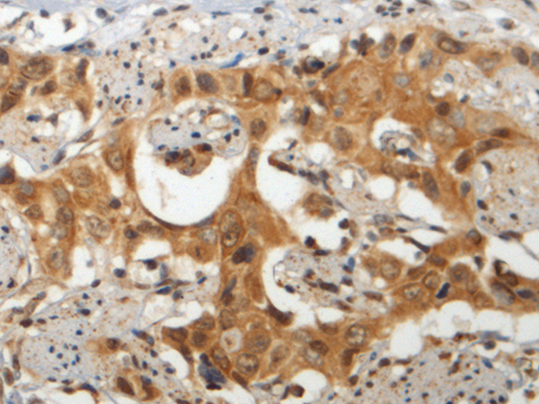
IHC positive control: |
Human esophagus cancer |
|
IHC Recommend dilution: |
150-300 |
購物車
幫助
021-54845833/15800441009
