中文名稱:兔抗RNF40多克隆抗體
英文名稱: Anti-RNF40 rabbit polyclonal antibody
別 名: BRE1B; RBP95; STARING
相關類別: 一抗
儲 存: 冷凍(-20℃)
宿 主: Rabbit
抗 原: RNF40
反應種屬: Human, Mouse, Rat
標記物: Unconjugate
克隆類型: rabbit polyclonal
Background:
The protein encoded by this gene contains a RING finger, a motif known to be involved in protein-protein and protein-DNA interactions. This protein was reported to interact with the tumor suppressor protein RB1. Studies of the rat counterpart suggested that this protein may function as an E3 ubiquitin-protein ligase, and facilitate the ubiquitination and degradation of syntaxin 1, which is an essential component of the neurotransmitter release machinery.
Applications:
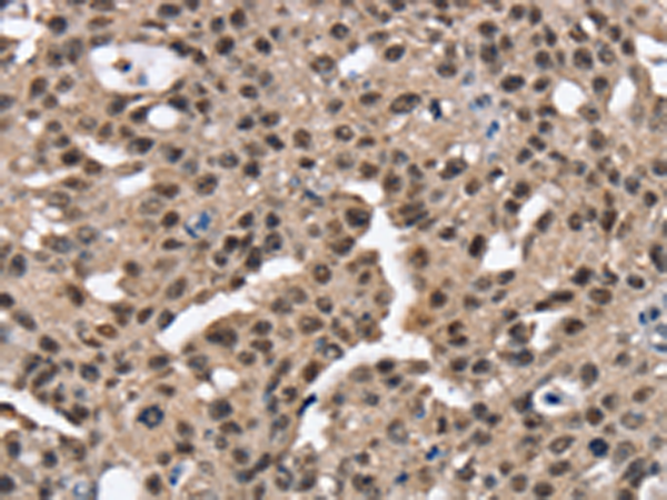
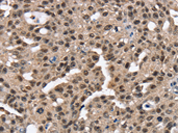
ELISA, WB, IHC
Name of antibody:
RNF40
Immunogen:
Fusion protein of human RNF40
Full name:
ring finger protein 40, E3 ubiquitin protein ligase
Synonyms:
BRE1B; RBP95; STARING
SwissProt:
O75150
ELISA Recommended dilution:
1000-2000
IHC positive control:
Human breast cancer and Human brain
IHC Recommend dilution:
25-100
WB Recommended dilution:
200-1000
WB Positive control:
Hela, 231 and A172 cells
WB Predicted band size:
114 kDa
技術規格


購物車
幫助
021-54845833/15800441009
