中文名稱: 兔抗GH2多克隆抗體
|
Background: |
The protein encoded by this gene is a member of the somatotropin/prolactin family of hormones which play an important role in growth control. The gene, along with four other related genes, is located at the growth hormone locus on chromosome 17 where they are interspersed in the same transcriptional orientation; an arrangement which is thought to have evolved by a series of gene duplications. The five genes share a remarkably high degree of sequence identity. Alternative splicing generates additional isoforms of each of the five growth hormones, leading to further diversity and potential for specialization. |
|
Applications: |
ELISA, WB, IHC |
|
Name of antibody: |
GH2 |
|
Immunogen: |
Fusion protein of human GH2 |
|
Full name: |
growth hormone 2 |
|
Synonyms: |
GHL; GHV; GH-V; hGH-V |
|
SwissProt: |
P01242 |
|
ELISA Recommended dilution: |
2000-5000 |
|
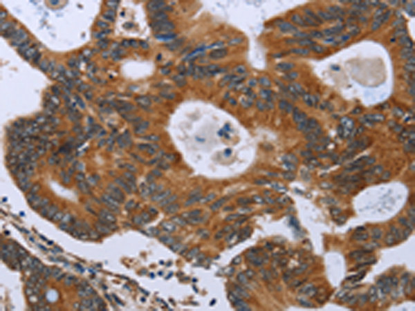
IHC positive control: |
Human colon cancer and human lung cancer |
|
IHC Recommend dilution: |
50-200 |
|
WB Predicted band size: |
25 kDa |
|
WB Positive control: |
Human placenta tissue |
|
WB Recommended dilution: |
500-2000 |


購物車
幫助
021-54845833/15800441009
