中文名稱:兔抗RPS16多克隆抗體
英文名稱: Anti-RPS16 rabbit polyclonal antibody
別 名: ribosomal protein S16; S16
相關類別: 一抗
儲 存: 冷凍(-20℃)
宿 主: Rabbit
抗 原: RPS16
反應種屬: Human, Mouse, Rat
標記物: Unconjugate
克隆類型: rabbit polyclonal
技術規格
|
Background: |
Ribosomes, the organelles that catalyze protein synthesis, consist of a small 40S subunit and a large 60S subunit. Together these subunits are composed of 4 RNA species and approximately 80 structurally distinct proteins. This gene encodes a ribosomal protein that is a component of the 40S subunit. The protein belongs to the S9P family of ribosomal proteins. It is located in the cytoplasm. As is typical for genes encoding ribosomal proteins, there are multiple processed pseudogenes of this gene dispersed through the genome. |
|
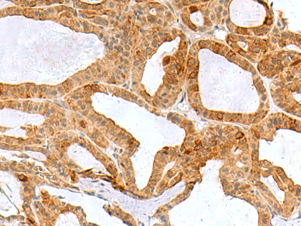
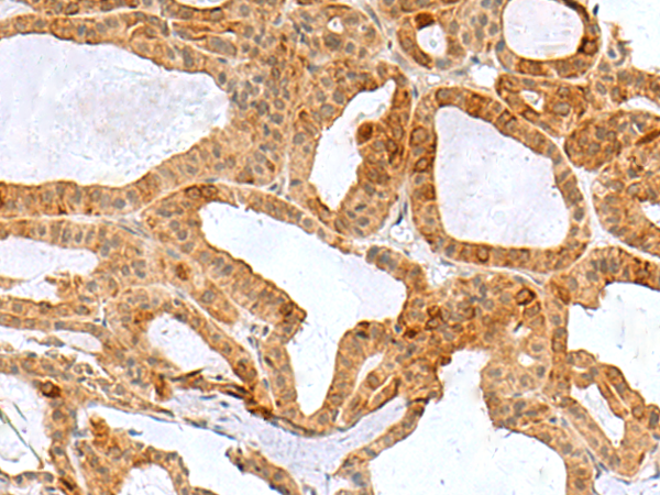
Applications: |
ELISA, IHC |
|
Name of antibody: |
RPS16 |
|
Immunogen: |
Fusion protein of human RPS16 |
|
Full name: |
ribosomal protein S16 |
|
Synonyms: |
S16 |
|
SwissProt: |
P62249 |
|
ELISA Recommended dilution: |
5000-10000 |
|
IHC positive control: |
Human lung cancer and Human thyroid cancer |
|
IHC Recommend dilution: |
100-200 |

購物車
幫助
021-54845833/15800441009
