中文名稱: 兔抗RRP1多克隆抗體
英文稱名: Anti-RRP1 rabbit polyclonal antibody
別 名: ribosomal RNA processing 1; NNP-1; NOP52; RRP1A; D21S2056E
相關類別: 一抗
儲 存: 冷凍(-20℃)
宿 主: Rabbit
抗 原: RRP1
反應種屬: Human
標 記 物: Unconjugate
克隆類型: rabbit polyclonal
Background:
The protein encoded by this gene is the putative homolog of the yeast ribosomal RNA processing protein RRP1. The encoded protein is involved in the late stages of nucleologenesis at the end of mitosis, and may be required for the generation of 28S rRNA.
Applications:
ELISA, WB, IHC
Name of antibody:
RRP1
Immunogen:
Fusion protein of human RRP1
Full name:
ribosomal RNA processing 1
Synonyms:
NNP-1; NOP52; RRP1A; D21S2056E
SwissProt:
P56182
ELISA Recommended dilution:
5000-10000
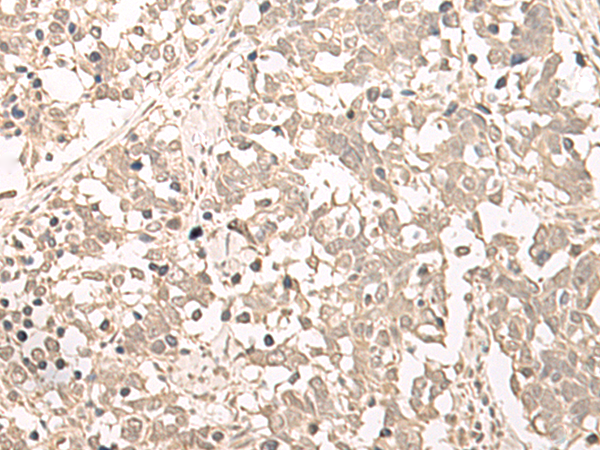
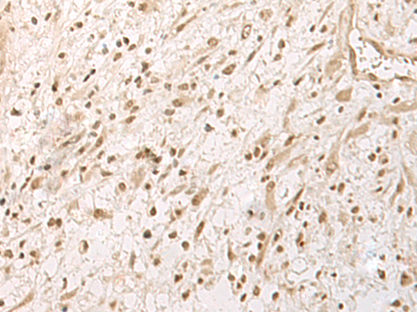
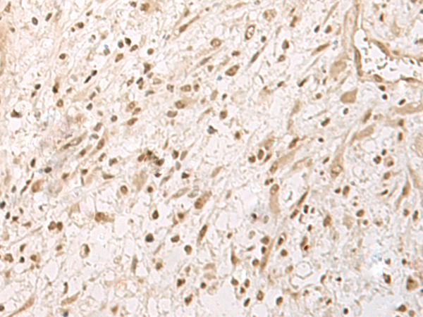
IHC positive control:
Human lung cancer
IHC Recommend dilution:
40-200
WB Predicted band size:
53 kDa
WB Positive control:
HepG2, Hela, 293T and Jurkat cell lysates
WB Recommended dilution:
500-2000
技術規格


購物車
幫助
021-54845833/15800441009
