中文名稱:兔抗SEPTIN10多克隆抗體
英文名稱: Anti-SEPTIN10 rabbit polyclonal antibody
別 名: septin 10; SEPT10
儲 存: 冷凍(-20℃)
宿 主: Rabbit
抗 原: SEPTIN10
反應種屬: Human, Mouse, Rat
標記物: Unconjugate
克隆類型: rabbit polyclonal
Background:
This gene encodes a member of the septin family of cytoskeletal proteins with GTPase activity. This protein localizes to the cytoplasm and nucleus and displays GTP-binding and GTPase activity. A pseudogene for this gene is located on chromosome 8. Alternative splicing results in multiple transcript variants. [provided by RefSeq, Apr 2012]
Applications:
ELISA, WB, IHC
Name of antibody:
SEPTIN10
Immunogen:
Fusion protein of human SEPTIN10
Full name:
septin 10
Synonyms:
SEPT10
SwissProt:
Q9P0V9
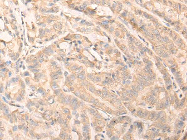
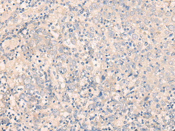
IHC positive control:
Human cervical cancer and Human thyroid cancer
IHC Recommend dilution:
50-300
WB Predicted band size:
53 kDa
WB Positive control:
Human fetal liver tissue lysate
WB Recommended dilution:
200-1000
技術規格



購物車
幫助
021-54845833/15800441009
