中文名稱: 兔抗SAA4多克隆抗體
英文名稱: Anti-SAA4 rabbit polyclonal antibody
別 名: CSAA; C-SAA
相關類別: 一抗
儲 存: 冷凍(-20℃)
宿 主: Rabbit
抗 原: SAA4
反應種屬: Human, Mouse
標 記 物: Unconjugate
克隆類型: rabbit polyclonal
技術規格
|
Background: |
SAA4 is a member of the SAA family.SAA proteins are family of apolipoproteins of high density lipoprotein (HDL). They can be separated into two distinct groups. First group (SAA1, SAA2, and SAA3) consists of acute phase reactant whose expression level increase in the blood in a response to trauma, infection, inflammation, and neoplasia. These acute phase SAAs associates with HDL during inflammation and remodel the HDL particle by displacing Apo-A1. The second distinct group consists of SAA4 and SAA5 which exist as the minor apolipoproteins on HDL, but this group of SAA constitutes more than 90% of all the SAA during homeostasis, and it is thought to play a role in the normal functioning of the HDL particle. SAA4 is a constitutively expressed protein which expressed only in humans and mice.It is connected almost completely with lipoproteins of the high density range. The physiological function of SAA4 is unknown, and its serum concentration has no association with those of other major apolipoproteins. |
|
Applications: |
ELISA, WB, IHC |
|
Name of antibody: |
SAA4 |
|
Immunogen: |
Full length fusion protein |
|
Full name: |
serum amyloid A4, constitutive |
|
Synonyms: |
CSAA; C-SAA |
|
SwissProt: |
P35542 |
|
ELISA Recommended dilution: |
5000-10000 |
|
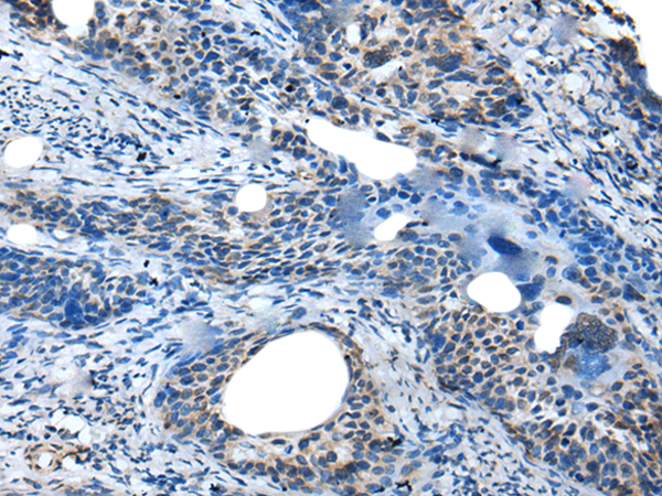
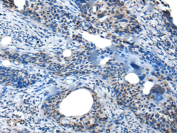
IHC positive control: |
Human cervical cancer |
|
IHC Recommend dilution: |
25-100 |
|
WB Predicted band size: |
15 kDa |
|
WB Positive control: |
Human normal stomach tissue lysate |
|
WB Recommended dilution: |
500-2000 |

購物車
幫助
021-54845833/15800441009
