|
Background: |
Acts as a transcriptional corepressor in a IRF2-dependent manner; this repression is not mediated by histone deacetylase activities. May act as an E3 ligase towards JDP2, enhancing its polyubiquitination. Represses ATF2-dependent transcriptional activation. |
|
Applications: |
ELISA, IHC |
|
Name of antibody: |
IRF2BP1 |
|
Immunogen: |
Synthetic peptide of human IRF2BP1 |
|
Full name: |
interferon regulatory factor 2 binding protein 1 |
|
SwissProt: |
Q8IU81 |
|
ELISA Recommended dilution: |
5000-10000 |
|
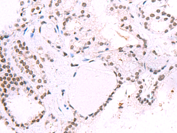
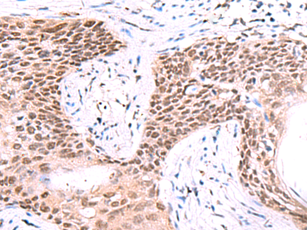
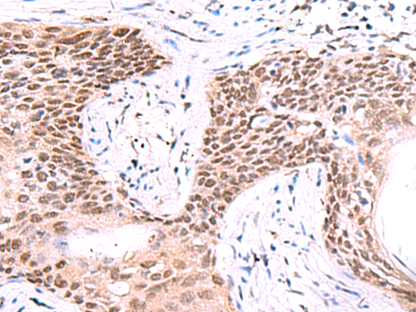
IHC positive control: |
Human esophagus cancer and Human thyroid cancer |
|
IHC Recommend dilution: |
30-150 |


購物車
幫助
021-54845833/15800441009
