中文名稱: 兔抗SCGB2A1多克隆抗體
英文名稱: Anti-SCGB2A1 rabbit polyclonal antibody
級 別: LPHC; LPNC; MGB2; UGB3
儲 存: 冷凍(-20℃)
抗 原: SCGB2A1
宿 主: Rabbit
相關類別: 一抗
反應種屬: Human
標 記 物: Unconjugate
克隆類型: rabbit polyclonal
技術規格
|
Background: |
May bind androgens and other steroids, may also bind estramustine, a chemotherapeutic agent used for prostate cancer. May be under transcriptional regulation of steroid hormones. |
|
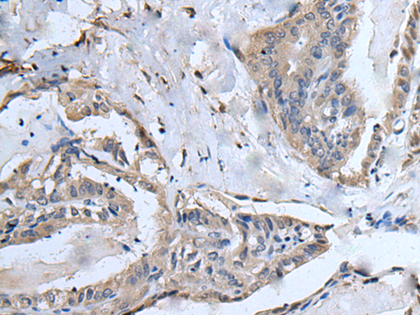
Applications: |
ELISA, IHC |
|
Name of antibody: |
SCGB2A1 |
|
Immunogen: |
Synthetic peptide of human SCGB2A1 |
|
Full name: |
secretoglobin family 2A member 1 |
|
Synonyms: |
LPHC; LPNC; MGB2; UGB3 |
|
SwissProt: |
O75556 |
|
ELISA Recommended dilution: |
5000-10000 |
|
IHC positive control: |
Human esophagus cancer and human breast cancer |
|
IHC Recommend dilution: |
25-100 |

購物車
幫助
021-54845833/15800441009
