中文名稱: 兔抗XRCC5多克隆抗體
|
Background: |
The protein encoded by this gene is the 80-kilodalton subunit of the Ku heterodimer protein which is also known as ATP-dependant DNA helicase II or DNA repair protein XRCC5. Ku is the DNA-binding component of the DNA-dependent protein kinase, and it functions together with the DNA ligase IV-XRCC4 complex in the repair of DNA double-strand break by non-homologous end joining and the completion of V(D)J recombination events. |
|
Applications: |
WB, IHC |
|
Name of antibody: |
XRCC5 |
|
Immunogen: |
Synthesized peptide derived from C-terminal of human XRCC5. |
|
Full name: |
X-ray repair complementing defective repair in Chinese hamster cells 5 (double-strand-break rejoining) |
|
Synonyms: |
KU80; KUB2; Ku86; NFIV; KARP1; KARP-1 |
|
SwissProt: |
P13010 |
|
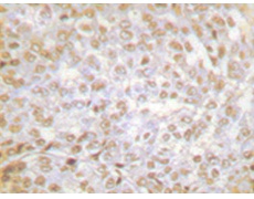
IHC positive control: |
Human breast carcinoma tissue |
|
IHC Recommend dilution: |
50-100 |
|
WB Predicted band size: |
83 kDa |
|
WB Positive control: |
Jurkat cells lysate |
|
WB Recommended dilution: |
500-3000 |

購物車
幫助
021-54845833/15800441009
