中文名稱:兔抗CD302多克隆抗體
英文名稱: Anti-CD302 rabbit polyclonal antibody
別 名: DCL1; DCL-1; BIMLEC; CLEC13A
儲 存: 冷凍(-20℃) 避光
反應種屬: Human Mouse Rat
標 記 物: Unconjugate
克隆類型: Unconjugate
技術規格
|
Background: |
Potential multifunctional C-type lectin receptor that may play roles in endocytosis and phagocytosis as well as in cell adhesion and migration. |
|
Applications: |
WB, IHC |
|
Name of antibody: |
CD302 |
|
Immunogen: |
Synthesized peptide derived from internal of human CD302. |
|
Full name: |
CD302 molecule |
|
Synonyms: |
DCL1; DCL-1; BIMLEC; CLEC13A |
|
SwissProt: |
Q8IX05 |
|
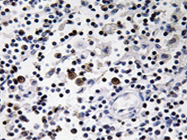
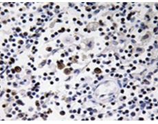
IHC positive control: |
Human lymph noe tissue |
|
IHC Recommend dilution: |
50-100 |
|
WB Predicted band size: |
26 kDa |
|
WB Positive control: |
HT-29 cells lysate |
|
WB Recommended dilution: |
500-3000 |


購物車
幫助
021-54845833/15800441009
