中文名稱: 兔抗NIPBL多克隆抗體
英文名稱: Anti-NIPBL rabbit polyclonal antibody
別 名: NIPBL, cohesin loading factor; CDLS; IDN3; Scc2; CDLS1; IDN3-B
相關類別: 一抗
儲 存: 冷凍(-20℃)
宿 主: Rabbit
抗 原: NIPBL
反應種屬: Human, Mouse
標 記 物: Unconjugate
克隆類型: rabbit polyclonal
技術規格
|
Background: |
This gene encodes the homolog of the Drosophila melanogaster Nipped-B gene product and fungal Scc2-type sister chromatid cohesion proteins. The Drosophila protein facilitates enhancer-promoter communication of remote enhancers and plays a role in developmental regulation. It is also homologous to a family of chromosomal adherins with broad roles in sister chromatid cohesion, chromosome condensation, and DNA repair. The human protein has a bipartite nuclear targeting sequence and a putative HEAT repeat. Condensins, cohesins and other complexes with chromosome-related functions also contain HEAT repeats. Mutations in this gene result in Cornelia de Lange syndrome, a disorder characterized by dysmorphic facial features, growth delay, limb reduction defects, and cognitive disability. Two transcript variants encoding different isoforms have been found for this gene. |
|
Applications: |
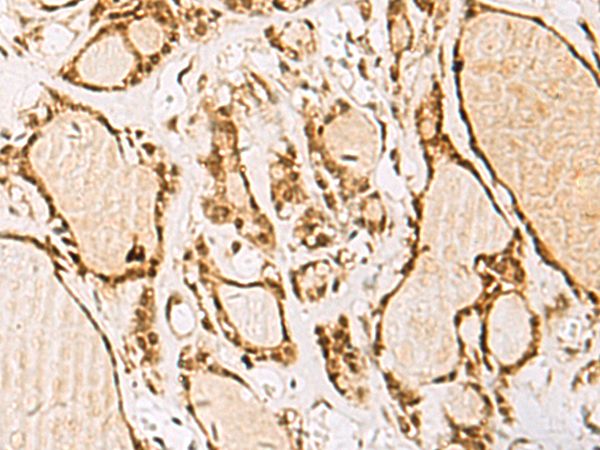
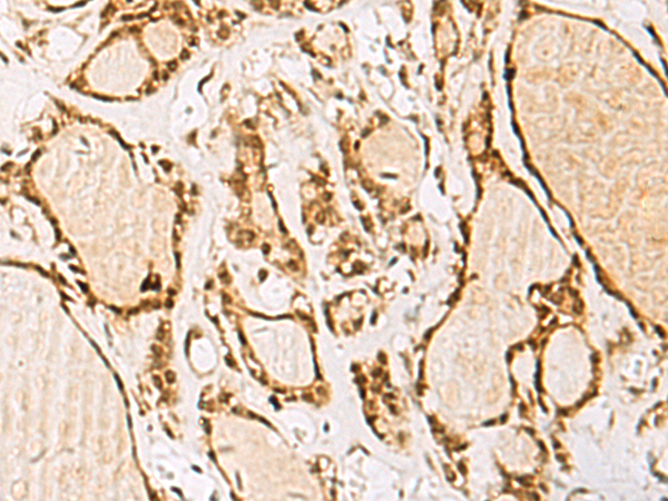
ELISA, IHC |
|
Name of antibody: |
NIPBL |
|
Immunogen: |
Fusion protein of human NIPBL |
|
Full name: |
NIPBL, cohesin loading factor |
|
Synonyms: |
CDLS; IDN3; Scc2; CDLS1; IDN3-B |
|
SwissProt: |
Q6KC79 |
|
ELISA Recommended dilution: |
5000-10000 |
|
IHC positive control: |
Human thyroid cancer |
|
IHC Recommend dilution: |
50-200 |

購物車
幫助
021-54845833/15800441009
