中文名稱: 兔抗NKX3-2多克隆抗體
英文名稱: Anti-NKX3-2 rabbit polyclonal antibody
別 名: NK3 homeobox 2; SMMD; BAPX1; NKX3B; NKX3.2
相關類別: 一抗
儲 存: 冷凍(-20℃)
宿 主: Rabbit
抗 原: NKX3-2
反應種屬: Human, Mouse
標 記 物: Unconjugate
克隆類型: rabbit polyclonal
技術規格
|
Background: |
This gene encodes a member of the NK family of homeobox-containing proteins. The encoded protein may play a role in skeletal development. |
|
Applications: |
ELISA, IHC |
|
Name of antibody: |
NKX3-2 |
|
Immunogen: |
Synthetic peptide of human NKX3-2 |
|
Full name: |
NK3 homeobox 2 |
|
Synonyms: |
SMMD; BAPX1; NKX3B; NKX3.2 |
|
SwissProt: |
P78367 |
|
ELISA Recommended dilution: |
5000-10000 |
|
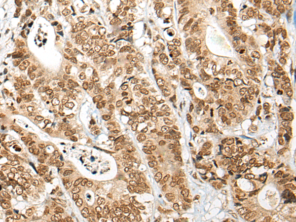
IHC positive control: |
Human thyroid cancer and human esophagus cancer |
|
IHC Recommend dilution: |
20-100 |


購物車
幫助
021-54845833/15800441009
