中文名稱: 兔抗SLC8A2多克隆抗體
英文名稱: Anti-SLC8A2 rabbit polyclonal antibody
別 名: NCX2
相關類別: 一抗
儲 存: 冷凍(-20℃)
宿 主: Rabbit
抗 原: SLC8A2
反應種屬: Human, Rat
標 記 物: Unconjugate
克隆類型: rabbit polyclonal
技術規格
|
Background: |
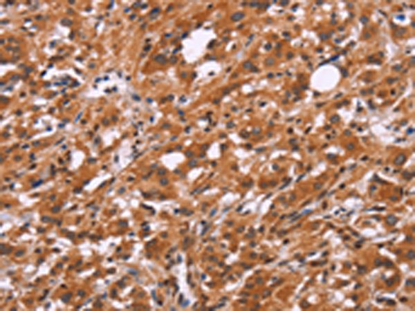
Sodium/calcium exchanger proteins are integral membrane proteins primarily seen in cardiac cells. In cardiac myocytes, the concentration of Ca2+ alternates between low levels during relaxation and high levels during contraction. The Na+/Ca2+ exchanger 1 (NCX1) protein mediates Ca2+ extrusion from cardiac cells during relaxation. Four NCX1 isoforms (NCX1.1, NCX1.3, NCX1.7, and NCX1.10) result from alternate splicing. NCX1 mRNA is present at high levels in the heart, with lower levels present in the brain. NCX2 is most abundantly expressed in brain, in contrast the the broader distribution of NCX1, which is also expressed in heart, kidney, lung, smooth and skeletal muscle. The difference in expression for the transporter subtypes is believed to reflect differences in their functional roles. Regulation mechanisms for these exchanger proteins have not been fully characterized. |
|
Applications: |
ELISA, IHC |
|
Name of antibody: |
SLC8A2 |
|
Immunogen: |
Synthetic peptide of human SLC8A2 |
|
Full name: |
solute carrier family 8 (sodium/calcium exchanger), member 2 |
|
Synonyms: |
NCX2 |
|
SwissProt: |
Q9UPR5 |
|
ELISA Recommended dilution: |
1000-2000 |
|
IHC positive control: |
Human thyroid cancer and Human gastric cancer |
|
IHC Recommend dilution: |
25-100 |
購物車
幫助
021-54845833/15800441009
