中文名稱:兔抗SELENOM多克隆抗體
英文名稱: Anti-SELENOM rabbit polyclonal antibody
別 名: selenoprotein M; SELM; SEPM
抗 原: SELENOM
儲 存: 冷凍(-20℃)
宿 主: Rabbit
相關類別: 一抗
反應種屬: Human, Mouse
標記物: Unconjugate
克隆類型: rabbit polyclonal
技術規格
|
Background: |
The protein encoded by this gene belongs to the selenoprotein M/SEP15 family. The exact function of this protein is not known. It is localized in the perinuclear region, is highly expressed in the brain, and may be involved in neurodegenerative disorders. Transgenic mice with targeted deletion of this gene exhibit increased weight gain, suggesting a role for this gene in the regulation of body weight and energy metabolism. This protein is a selenoprotein, containing the rare amino acid selenocysteine (Sec). Sec is encoded by the UGA codon, which normally signals translation termination. The 3' UTRs of selenoprotein mRNAs contain a conserved stem-loop structure, designated the Sec insertion sequence (SECIS) element, that is necessary for the recognition of UGA as a Sec codon, rather than as a stop signal. |
|
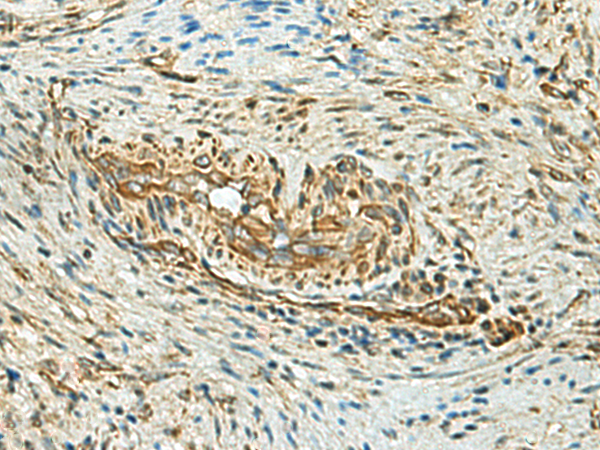
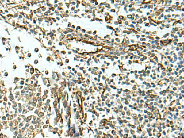
Applications: |
ELISA, IHC |
|
Name of antibody: |
SELENOM |
|
Immunogen: |
Synthetic peptide of human SELENOM |
|
Full name: |
selenoprotein M |
|
Synonyms: |
SELM; SEPM |
|
SwissProt: |
Q8WWX9 |
|
ELISA Recommended dilution: |
5000-10000 |
|
IHC positive control: |
Human cervical cancerHuman tonsil |
|
IHC Recommend dilution: |
25-100 |

購物車
幫助
021-54845833/15800441009
