中文名稱: 兔抗SLC9A7多克隆抗體
英文名稱: Anti-SLC9A7 rabbit polyclonal antibody
別 名: NHE7; NHE-7; SLC9A6
相關類別: 一抗
儲 存: 冷凍(-20℃)
宿 主: Rabbit
抗 原: SLC9A7
反應種屬: Human, Mouse
標 記 物: Unconjugate
克隆類型: rabbit polyclonal
技術規格
|
Background: |
This gene encodes a sodium and potassium/ proton antiporter that is a member of the solute carrier family 9 protein family. The encoded protein is primarily localized to the trans-Golgi network and is involved in maintaining pH homeostasis in organelles along the secretory and endocytic pathways. This protein may enhance cell growth of certain breast tumors. This gene is part of a gene cluster on chromosome Xp11.23. A pseudogene of this gene is found on chromosome 12. Alternate splicing results in multiple transcript variants. |
|
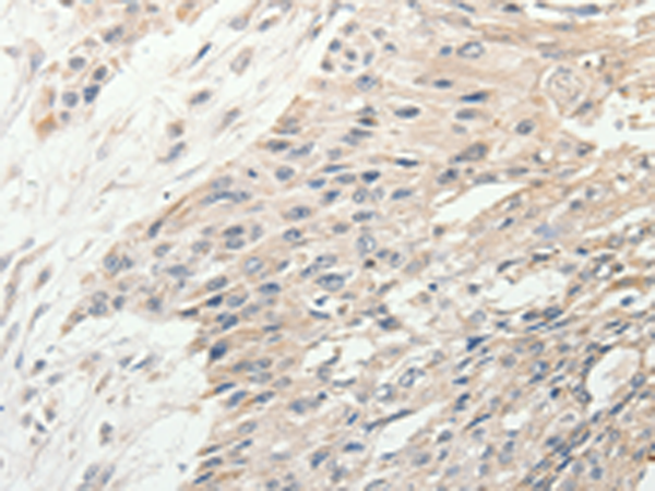
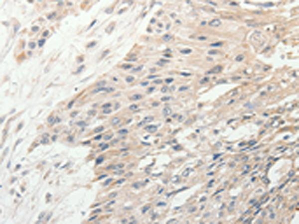
Applications: |
ELISA, IHC |
|
Name of antibody: |
SLC9A7 |
|
Immunogen: |
Synthetic peptide of human SLC9A7 |
|
Full name: |
solute carrier family 9, subfamily A (NHE7, cation proton antiporter 7), member 7 |
|
Synonyms: |
NHE7; NHE-7; SLC9A6 |
|
SwissProt: |
Q96T83 |
|
ELISA Recommended dilution: |
2000-5000 |
|
IHC positive control: |
Human esophagus cancer |
|
IHC Recommend dilution: |
50-200 |

購物車
幫助
021-54845833/15800441009
