中文名稱:兔抗APPL1多克隆抗體
|
Background: |
The protein encoded by this gene has been shown to be involved in the regulation of cell proliferation, and in the crosstalk between the adiponectin signalling and insulin signalling pathways. The encoded protein binds many other proteins, including RAB5A, DCC, AKT2, PIK3CA, adiponectin receptors, and proteins of the NuRD/MeCP1 complex. This protein is found associated with endosomal membranes, but can be released by EGF and translocated to the nucleus. |
|
Applications: |
ELISA, WB, IHC |
|
Name of antibody: |
APPL1 |
|
Immunogen: |
Fusion protein of human APPL1 |
|
Full name: |
Adaptor protein, phosphotyrosine interaction, PH domain and leucine zipper containing 1 |
|
Synonyms: |
APPL; DIP13alpha |
|
SwissProt: |
Q9UKG1 |
|
ELISA Recommended dilution: |
2000-5000 |
|
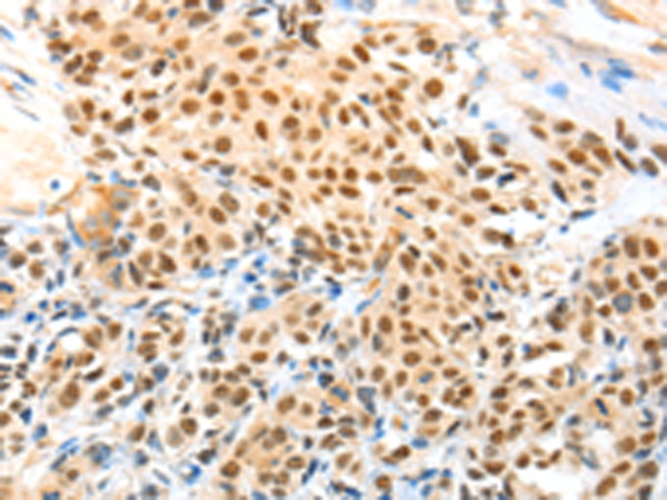
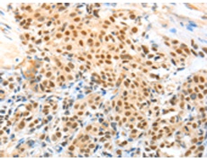
IHC positive control: |
Human esophagus cancer and human lung cancer |
|
IHC Recommend dilution: |
100-300 |
|
WB Predicted band size: |
80 kDa |
|
WB Positive control: |
A172 cells |
|
WB Recommended dilution: |
500-2000 |
購物車
幫助
021-54845833/15800441009
