英文名稱 : Anti-NRG2 rabbit polyclonal antibody
別 名 : DON1; HRG2; NTAK
抗 原 : NRG2
儲 存 : 冷凍(-20℃)
宿 主 : Rabbit
反應種屬 : Human, Mouse, Rat
標 記 物 : Unconjugate
相關類別 : 一抗
克隆類型 : rabbit polyclonal
技術規格
|
Background: |
This gene encodes a novel member of the neuregulin family of growth and differentiation factors. Through interaction with the ERBB family of receptors, this protein induces the growth and differentiation of epithelial, neuronal, glial, and other types of cells. The gene consists of 12 exons and the genomic structure is similar to that of neuregulin 1, another member of the neuregulin family of ligands. The products of these genes mediate distinct biological processes by acting at different sites in tissues and eliciting different biological responses in cells. This gene is located close to the region for demyelinating Charcot-Marie-Tooth disease locus, but is not responsible for this disease. Alternative transcript variants encoding distinct isoforms have been described. |
|
Applications: |
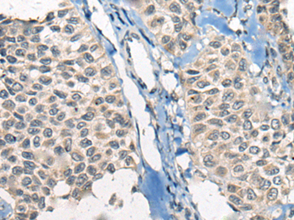
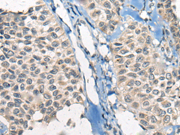
ELISA, IHC |
|
Name of antibody: |
NRG2 |
|
Immunogen: |
Synthetic peptide of human NRG2 |
|
Full name: |
neuregulin 2 |
|
Synonyms: |
DON1; HRG2; NTAK |
|
SwissProt: |
O14511 |
|
ELISA Recommended dilution: |
5000-10000 |
|
IHC positive control: |
Human esophagus cancer and human liver cancer |
|
IHC Recommend dilution: |
20-100 |


購物車
幫助
021-54845833/15800441009
